Tumores pancreáticos císticos
Por Dr. Nelson de Souza Liboni
Compartilhe:
Cistos simples de pâncreas
Os tumores císticos são assim nomeados pela existência de predominância de liquido em seu interior
Com a disponibilidade cada vez de métodos de imagem, os cistos pancreáticos são encontrados nos exames de rotina.
Cistos pancreáticos podem ser confundidos com pseudocistos que são coleções de suco pancreático acumulados após episódios complicados de pancreatite ou trauma.
Eles são pequenas “bolhas” cheias de líquido, que podem surgir no pâncreas e sua caraterização do cisto é muito importante, pois podem ser benignos ou malignos. Os simples não requerem tratamento, enquanto outros tipos de cistos podem necessitar de ressecção cirúrgica.
O porquê da formação de um cisto não está determinado mas existem algumas doenças de origem genética como Von Hippel-Lindau (doença neurocutânea hereditária rara caracterizada por tumores benignos e malignos em múltiplos órgãos), ou doença renal policística.
O cisto simples não se transformam em câncer. O diagnóstico tem de ser preciso.
Os cistos no pâncreas podem ser detectados em 2% dos pacientes que fazem exames de tomografia ou ressonância. O diagnóstico na maioria das vezes é feito através de exames de rotina, como uma ecografia.
A maioria dos pacientes não possui sintomas, e o diagnóstico é incidental. A minoria, com cistos grandes, possui desconforto, náuseas e dor abdominal, porém é difícil caracterizar se os sintomas são devido ao cisto ou não.
A grande maioria possui menos do que 5 cm. Importante diferenciar de cistoadenoma seroso, cistoadenoma mucinoso, neoplasia intraductal mucinosa do pâncreas, e cistoadenocarcinoma.
-
Exames de sangue: Alteração de exames da função do pâncreas não são encontradas assim como marcadores tumorais CA19-9 estão inalterados.
Os marcadores tumorais também são utilizados na investigação do tipo de cisto. Antígeno carcinoembriogênico (CEA) se encontra elevado nas lesões mucinosas (>800 ng/mL) e baixo nos pseudocistos e lesões serosas (<5 ng/mL).
O antígeno carcinogênico CA19-9 pode estar elevado em lesões mucinosas ou IPMNs e é baixo em lesões serosas. A amilase pode ser alta em IPMN, variável em lesões mucinosas e baixo em serosas.
-
Ecografia: aparece como um nódulo hipoecóico bem delimitado, arredondado, uniloculado, com paredes quase imperceptíveis e aumento da ecogenicidade posteriormente.
-
Tomografia e/ou ressonância: Pode mostrar lesões maiores do que 0,5 cm. A tomografia ou a ressonância do abdômen auxiliam a determinar o tamanho e a localização do cisto e permite avaliar o pâncreas. O cisto simples aparece como uma lesão bem delimitada, com líquido com densidade de água no seu interior e não capta contraste. Raramente o cisto simples possui septações no seu interior, a não ser que tenha havido algum sangramento no seu interior.
A suspeita de um cisto maligno se dá naqueles maiores de 3 cm, com dilatação do ducto maior que 6mm ou que realçam contraste, dilatação do ducto biliar, aumento da papila, com parede irregular ou nódulos de parede maiores que 5mm.
-
Biópsia do cisto pancreático: Raramente é necessária. Mesmo quando há duvida diagnóstica, raramente é indicada, a não ser que o exame de imagem sugira outro tipo de lesão cística do pâncreas. Quando realizado aspiração, a dosagem de antígeno carcinoembrionário (CEA) é normal, e a avaliação das células (citologia) é negativa. A cor do líquido é clara. Pode ser biopsia guiada por imagem ou endoscópica.
-
Endoscopia: (colangiopancreatografia endoscópica) que pode visualizar a saída de mucina (“gelatina” clara) em casos de IPMN e visualizar dilatações ou alterações do ducto pancreático.
-
Ultrassonografia endoscópica não contribui de maneira certeira para o diagnóstico do tipo de cisto, mas coleta fluido do cisto para análise (citologia benigna ou maligna e oiutras).
Raramente os cistos de grande tamanho podem apresentar sangramento para o seu interior, causando dor intensa, mas é muito raro.
O mais importante é estar o mais correto possível no diagnóstico. A quase totalidade não requer tratamento. O aumento de tamanho ou a presença de sintomas pode estar relacionado à neoplasia cística mucinosa (cistoadenoma ou cistoadenocarcinoma), ou outras neoplasias císticas.
Por ser uma lesão benigna, com raras complicações, o prognóstico é excelente.
Os sinais e sintomas dependerão do tamanho, da localização e do tipo do cisto de pâncreas. A relação com episódios de pancreatite deve lembrar a suspeita de pseudocistos ou cistos de retenção naqueles com pancreatite crônica. Dor é o sintoma mais frequente daqueles com cistos pancreáticos.
Raramente pode haver compressão do estômago e dos intestinos causando dor, desconforto, enjôo, vômitos, diabetes, diarréia, perda de peso e/ou dificuldade de alimentação. A obstrução dos ductos biliares pode causar icterícia e de vasos sanguíneos causar hemorragia digestiva ou outros sintomas. Raramente pode haver ruptura espontânea do cisto para a cavidade abdominal, outros órgãos ou sangramento e/ou infecção dentro do cisto.
Outras raras apresentações de cistos pancreáticos incluem: tumores neuroendócrinos císticos, cistoadenomas macrocístico seroso, transformação acinar cística, cistoadenoma seroso sólido, cistoadenocarcinoma acinar, lesões metastáticas (geralmente de carcinona renal ou melanoma), teratomas, coriocarcinomas, cistos linfepiteliais, linfangioma, linfoceles, cistos parasitários, cistos de retenção de pancreatite crônica ou câncer pancreático.
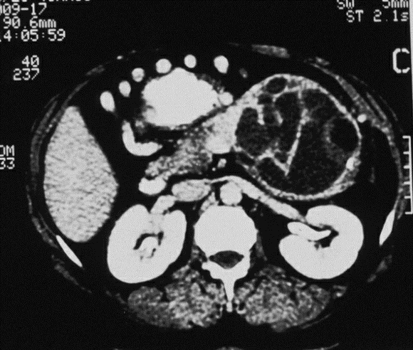
Neoplasia Cística Serosa – Cistoadenoma Seroso
![]() |
![]() |
Tumor cístico (líquido em seu interior) tipicamente benigno composto de uma única camada de células epiteliais cuboides contendo glicogênio. Tem correspondido a cerca de 14% das lesões císticas achadas no pâncreas incidentalmente. Raramente se malignizam para cistoadenocarcinoma com risco de 3%.
São presentes:
- em ambos os sexos sendo ligeiramente mais comuns em mulheres entre 56 a 65 anos;
- a maioria assintomáticos achados por outros motivos de investigação;
- acometem a cabeça do pâncreas, corpo e a cauda.
O cistoadenoma seroso é em geral um tumor benigno. Mas deve ser diferenciado do cistoadenoma mucinoso que tem real potencial de malignização.
Aparece na Ressonância ou tomografia:
- lesão cística com liquido em seu interior de baixa densidade associado a septações;
- calcificação central estrelada (“Star Calcification” ou “Surnbust calcification”) ou ainda pequenos cistos conjuntos dando um aspecto em colmeia (“Honneycomb”) ou esponja (“Sponge”).
- raramente há a presença de um cisto único com parede fina chamado cistoadenoma oligocístico-macrocístico. Nos casos inconclusivos deve ser realizada a eco-endoscopia realizando biópsia da parede do cisto e dosagem de substâncias do líquido aspirado;
- células e liquido ricos em glicogênio, se atipias (células não-cancerígenas);
- tem valores baixos de marcadores tumorais como CEA(abaixo de 5), CA 19,9 (abaixo de 37,0) ,amilase normal.
Quando não tenham sintomas, o tratamento desse tumor é apenas o seguimento com tomografia ou ressonância.
Pacientes com sintomas, dúvidas com câncer ou tumores que crescem rapidamente devem ser extirpados por cirurgia. Os cistoadenomas serosos maiores que 4cm por seu comportamento mais agressivo devem ser operados, mas essa conduta não é unanimidade.
A cirurgia preferencial é por laparoscopia ou robótica, mas pode ser realizada também laparotomica em tumores de grandes dimensões ou difícil localização. A cirurgia exibem altos índices de cura.
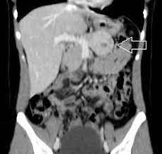
Neoplasia Cística Mucinosa – Cistadenoma Mucinoso
![]() |
![]() |
Os cistos podem ser únicos ou multiloculares com diâmetro de 1 a 3,5cm. Estes tumores são consideradas lesões benignas com potencial de malignização menor que as lesões papilíferas intraductais.
Diferentemente das neoplasias intraductais produtoras de mucina não se comunicam com o ducto pancreático. Tipicamente não apresentam sintomas e são achados em exames de imagem indicados por outra razão.
Tumor cístico (composto de líquido e muco) do pâncreas que pode ser:
- benigno;
- bordeline (comportamento incerto com tendência a malignização);
- maligno na forma de cistoadenocarcinoma mucinoso. São formados de epitélio colunar espesso composto por estroma semelhante ao ovário (“ovarian-type stroma”).
Apresenta painel imuno-histoquímico frequentemente positivo a receptores de estrogênio e progesterona.
Características:
- acomete mais mulheres jovens e meia idade entre 30 a 45 anos;
- a maioria se encontra no corpo e cauda pancreática;
- 40% ou mais desses tumores tem componente de malignidade invasiva no tempo de seu diagnóstico;
- na tomografia ou ressonância aparecem como tumores redondos, bem encapsulados, septos grosseiros e cistos grandes, calcificações na periferia do tumor e estão mais presentes quando existe malignização (designadas de “Egg-Shell” ou casca de ovo ). São sinais de preocupação também, a presença de nódulos intracísticos, obstrução biliar, invasão de gordura peri-pancreática e ascite;
- na colangiopancreatografia não há comunicação do cisto com Ducto de Wirsung;
- a Eco-Endoscopia com bíopsia e aspirado do liquido mostra rico em mucina (muco assim como as células, pode conter atipias) e tem valores altos de marcadores como CEA, CA 19,9 (abaixo de 37,0) com níveis baixos de amilase.
Por causa do risco de malignização oculta e transformação cancerígena, o tratamento desse tumor é sua extirpação cirúrgica completa. Quando evoluem para um câncer do pâncreas causam perda de peso e icterícia A retirada somente do cisto (chamada enucleação) é proscrita, sendo contra-indicada pelo risco de disseminação.
A cirurgia preferencial tem sido por laparoscopia ou robotica para tumores pequenos ou médios e também laparotomia nos tumores de grandes dimensões ou difícil localização.
O prognóstico depende do tamanho da lesão e da existência de componente invasivo ou não.
Neoplasia Mucinosa Papilar Intraductal – IPMN
Ela é definida como tumores que nascem e envolvem os ductos pancreáticos extensivamente produzindo mucina espécie de muco, elas são lesões
Pode se originar:
- no Ducto Pancreático principal (Wirsung) - “Main Duct IPMN”;
- no Ducto secundário - “Side Branch Duct IPMN”.
Eles produzem mucina como o cistoadenoma mucinoso pancreático descrito anteriormente, tem grande importância na sua diferenciação por apresentar comportamento clínico-biológico, tratamento e prognóstico diferentes.
O IPMN são:
- mais comuns em homens, idosos;
- menos frequentemente localizados no corpo e cauda do pâncreas;
- transformação progressiva desde adenoma a bordeline IPNM (pré-maligno) até carcinoma invasivo (“câncer propriamente dito”).
Os achados:
- A comunicação do ducto pode ser vista por CPRE, TC Ou Colangiopancreatografia por RNM;
- Endoscopicamente, mucina pode ser visualizada saindo da ampola de Water. Eco-endoscopia ou TC pode mostrar nódulos intra-murais junto ao cisto;
- Os marcadores tumorais do liquido aspirado do cisto CEA e CA 19,9 costumam ser elevados.
O tratamento do IPMN tem sido considerado complexo.
Cirúrgico
- retirada integral de todos IPNM de ducto principal, cujo achado diagnóstico pré-operatório é de IPMN invasivo (ducto primário ou secundário);
- doentes sintomáticos (ducto primário ou secundário);
- nos doentes com IPMN de ducto secundário com os chamados “high-risk stigmata” (icterícia obstrtutiva, componente sólido no cístico, ducto pancreático maior que 10mm) também devem ser operados;
- doentes com chamados “worrisome-features”,: cisto maior que 3cm, paredes espessadas, ducto principal entre 5 a 9mm, nódulos murais, atrofia do pâncreas e gânglios linfáticos aumentados;
- a eco-endoscopia mostrando nódulo intramural, envolvimento do ducto principal como paredes espessadas ou mucina intra-ductal, além de citologia suspeita para células malignas a cirurgia também está indicada para retirada da lesão.
A cirurgia ela pode ser realizada aberta , laparoscópica ou robotica , realizando pancreatectomia parcial (retirada de uma porção do pâncreas) até mesmo pancreatectomia total (retirada de todo o pâncreas) dependendo do tipo de lesão e acometimento do ducto pancreático principal – Ducto de wirsung.
Clinico (podem ser simplesmente acompanhados.)
IPMN de ductos secundários com os seguintes critérios:
- menores que 3cm;
- ducto principal menor que 10mm;
- sem nódulos murais;
- citologia benigna.
Tumores Neuroendócrinos Císticos
Os tumores neuroendócrinos císticos compõem aproximadamente 10% dos tumores neuro-endócrinos pancreáticos e entre 2 a 14% dos tumores císticos pancreáticos na literatura, sendo raros e frequentemente confundidos com outros tumores císticos do pâncreas.
Eles podem produzir hormônios como insulina, glucagon e gastrina, no entanto a maioria são não-funcionais e não-malignos. A natureza cística desses tumores pode ser relacionada com hemorragia intratumoral.
Na Tomografia ou Ressonância aparecem lesão arredondada com cápsula-parede espessa, com liquido no seu interior com densidade variável (podendo ser mais denso se hemorrágico ou não), podendo impregnar precocemente a capsula com o contraste (cápsula hipercontrastante) principalmente na fase arterial. Geralmente, a lesão é encontrada no corpo ou cauda pancreática.
Os tumores podem ser apresentados:
- cisto único ou multiloculado;
- a análise do liquido por eco-endoscopia apresenta marcadores tumorais como CEA e Ca 19,9 com níveis baixos;
- a biopsia das células da lesão apresentaram painel positivo na imuno-histoquìmica para as proteínas neuro-enolase, cromogranina A e sinaptofisina assim como os demais tumores de origem neuroendócrina. Assim como demais tumores neuro-endócrino pancreáticos eles devem ser tratados com cirurgia.
Tumor Sólido-Cístico Pseudopapilar – (TSCP) ou Tumor Papilar Sólido-Cístico (TPSC)
Ele é raro e de baixo grau de agressividade, mas metastisa para o fígado. Representa de 1 a 3% de todos os tumores pancreáticos e sua incidência tem aumentado na última década. Foi descrito em 1959 por Frantz, por isso também conhecida por Tumor de Frantz. Apresenta ambas as áreas sólida e cística que podem corresponder a degeneração do tumor, necrose ou hemorragia.
Frequentemente observado:
- mulheres entre 22 a 38 anos;
- acomete qualquer local do pâncreas, mas mais comumente atingem a cauda pancreática;
- 80% dos casos, os doentes apresentam sintomas como dor abdominal ou sensação de “inchaço” ou massa;
- Os marcadores tumorais no sangue em geral estão normais como AFP (alfa-fetoproteína), CEA, CA 19,9 e Ca 125;
- tomografia ou ressonância mostram massa sólido-cística bem definida, arredondada eventualmente com calcificação, hemorragia intra-tumoral, degeneração cística e realce heterogêneo com administração do contraste endovenoso;
- eco-endoscopia com biópsia só dá o correto diagnóstico em 50% dos casos. A imuno-histoquímica das células tumorais são positivas principalmente para vimentina, CD10, CD56, neuro-enolase, alpha1antitripsina e Beta-catenina.
O tratamento é a retirada cirúrgica e as chances de cura podem atingir 95% nos tumores totalmente retirados. Mesmo com metástases hepáticas ganho de sobrevida pode ser observado quando são retirados tanto o tumor primário pancreático quanto as metástases hepáticas. Habitualmente não respondem a quimioterapia ou radioterapia.
Cisto Linfoepitelial
Rara e corresponde a 0,5% dos tumores císticos pancreáticos. É uma doença benigna composta de epitélio queratinizado escamoso maduro circundado por tecido linfoide.
Achados:
- Ocorre mais comum em homens em torno da sexta década de vida;
- A Tomografia mostra uma lesão cística com baixa atenuação bem circunscrita com debris em seu interior e não há dilatação do ducto de Wirsung;
- Na Ressonância devido a alta concentração de queratina apresenta aspecto bem característico como Alto sinal em T1 e Baixo sinal em T2. Pode ser multiloculado;
- Na eco-endoscopia revela epitélio escamoso estratificado, linfócitos e ausência de células neoplásicas. O tecido periférico tem aspecto de gânglio linfático.
São lesões benignas que só devem ser operadas em caso de sintomas ou dúvida no diagnóstico com câncer.
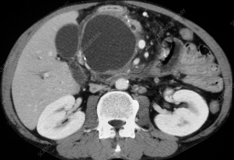
Pseudocisto de pâncreas
A formação de um cisto (líquido no interior), podendo ser únicos ou múltiplos, e de tamanho variado, podendo se formar dentro e fora do pâncreas. A parede do pseudocisto é formada pelas estruturas adjacentes, como o estômago, pâncreas e o intestino grosso, não sendo assim uma verdadeira parede.
![]() |
![]() |
Pode ser causado após um episódio de pancreatite aguda (ingesta de bebida alcoólica e pedra na vesícula), devido ao acúmulo de liquido ao redor do pâncreas após a inflamação, ou devido à ruptura de um ducto pancreático, seja por um trauma ou por pancreatite aguda ou crônica. Possui concentração elevada de enzimas pancreáticas em seu interior. Geralmente se forma dentro de um prazo de quatro semanas do episódio de pancreatite aguda.
Aproximadamente 10% dos pacientes com pancreatite podem apresentar pseudocistos.
No diagnóstico, podem apresentar dor abdominal, sinais de obstrução do duodeno (náuseas, vômitos) ou das vias biliares (icterícia, colúria), formação de fístulas para vísceras adjacentes, espaço pleural e pericárdio, e infecção (febre).
Importante a história de pancreatite aguda ou de trauma pancreático prévio. Caso contrario, é de extrema importância diferenciar de câncer de pâncreas e de outros cistos pancreáticos.
Alteração de exames de amilase e lipase são infrequentes quando o pseudocisto é diagnosticado, mas estavam aumentados durante a pancreatite aguda. O hemograma geralmente é normal. Os exames da função do fígado são frequentemente normais. O aumento de bilirrubina e fosfatase alcalina pode indicar compressão da via biliar intrapancreática.
A ecografia pode demonstrar a presença do pseudocisto, assim como sinais de pancreatite crônica (calcificações e atrofia do pâncreas) ou aguda, dilatação do ducto pancreático, e aumento do tamanho do pâncreas.
A Tomografia e/ou Ressonância determinam se há pseudocisto do pâncreas, sua localização, assim como a presença de sinais de pancreatite aguda e crônica. Podem ajudar, juntamente com a história do paciente, a diferenciar o pseudocisto de tumores císticos do pâncreas.
A Ultrassonografia Endoscópica (ecoendoscopia) auxilia a determinar se é um pseudocisto ou uma neoplasia cística do pâncreas.
Presença de septações no interior, conteúdo ecogênico compatível com mucina, ausência de sinais inflamatórios, podem sugerir ser um tumor cístico. A ecoendoscopia permite aspirar o conteúdo do cisto. Quando o líquido é aspirado, o material deve ser enviado para cultura para verificar infecção.
As complicações mais comuns, são infecção espontânea no interior do pseudocisto, obstrução do duodeno ou das vias biliares (canal biliar), ruptura para a cavidade abdominal, formação de uma fístula para um órgão adjacente ou para o tórax, trombose de vasos adjacentes, como a veia esplênica (veia do baço que passa junto ao pâncreas), e formação de pseudoaneurismas devido à “digestão” dos vasos adjacentes ao pseudocisto. Eles podem se romper, causando dor abdominal intensa e súbita.
Os pseudocistos se resolvem espontaneamente em 40 a 60% dos casos . A drenagem do pseudocisto tem sido indicada quando são maiores do que 6 cm, ou se persistem por mais de 6 semanas.
A indicação de drenagem é indicada quando ocorre crescimento rápido, compressão de estruturas adjacentes, dor abdominal importante e sinais de infecção.
Importante antes de realizar uma drenagem, é caracterizar por exame de imagem se existe estenose do ducto do pâncreas ou não. Assim a drenagem pode ser feita por cirurgia, por endoscopia ou de forma percutânea.
No caso de presença de pseudoaneurisma devido ao pseudocisto, é indicado embolização por radiologia intervencionista, antes de qualquer forma de drenagem.
Ela é doença benigna com complicações mais severas infrequentes. Quando optado por conduta expectante, aproximadamente 10 % dos pacientes podem apesentar complicações mais graves, o que acontece na maioria dos casos nas primeiras oito semanas. Complicações com as drenagens chegam a 20%, com mortalidade de até 5%.










