Nódulos hepáticos
Por Dr. Nelson de Souza Liboni
Compartilhe:
NNa maioria dos casos, o nódulo no fígado é benigno especialmente sem nenhuma doença de fígado conhecida, descoberto acidentalmente em exames de rotina.
Estes não causam sintomas na maioria dos casos e precisam ser avaliados regularmente com ultrassonografia, tomografia e ressonância magnética, para identificar se estão crescendo. Se o nódulo aumentar muito de tamanho causam dor abdominal e alterações digestivas e podem ser retirado através de cirurgia. Quando o nódulo é suspeito de malignidade realiza se biópsia para ter o diagnóstico.
No caso do nódulo maligno, geralmente ou é uma metástase, e ocorre em pessoas com câncer em outro local, ou câncer próprio do fígado, chamado de carcinoma hepatocelular.
O carcinoma hepatocelular ocorre na cirrose alcoólica e hepatite com mais frequência.
Assim, se a pessoa tiver:
- Histórico de transfusões de sangue;
- Uso de drogas injetáveis;
- Consumo de álcool;
- História na família de doença hepática crônica como cirrose.
As metástases no fígado ocorrem quando existe algum tipo de câncer no sistema digestivo, como estômago, pâncreas e cólon, mas também de câncer da mama ou dos pulmões.
O aparecimento de um nódulo no fígado pode ter diversas causas. As mais comuns incluem:
1. Cistos e abscessos
Muitos casos de nódulo no fígado são apenas um cisto. Os cistos são geralmente simples, benignos e não causam sintomas e, por isso, não precisam de tratamento. O cisto é uma pequena bolsa cheia de líquidos.
A causa exata do cisto no fígado não é conhecida, no entanto, são observados vários casos em que o cisto está presente desde o nascimento, devido a uma malformação dos ductos biliares ou por alterações genéticas que causam doença hepática policística.
Os cistos afetam mulheres e homens, mas é mais comum em mulheres, podendo estar presente desde o nascimento devido a uma malformação dos ductos biliares, mas também ocorrer na vida adulta devido a uma infecção por parasitas, ou uso de anticoncepcionais orais ou anabolizantes.
Quando são causados por parasitas, podem causar sintomas e precisam de remoção por cirurgia ou drenagem. Mais raramente, há cistos associados a doenças genéticas, isto é, que nascem com a pessoa, e que costumam ser em grande número podendo em determinadas situações ser indicado transplante. Outras vezes há cistos mais suspeitos de malignidade, que têm de ser tratados.

O nódulo pode ainda ser um abscesso, que precisa de tratamento com antibiótico ou eventualmente ser drenado ou aspirado.
Tanto no caso dos cistos como dos abscessos, a tomografia, ressonância magnética e ultrassom costumam ser suficientes para fazer o diagnóstico.
Além disso, o médico pode solicitar exames de sangue, como provas de função hepática ou pesquisa de antígenos, para verificar se existe infecção pelo parasita Echinococcus granulosus que é um dos principais causadores do cisto no fígado.
Principais sintomas
O cisto no fígado geralmente não apresenta sintomas, sendo que a maioria dos casos são descobertos em exames de rotina.
No entanto, quando o cisto é grande, aumenta de tamanho ou se rompe, podem surgir sintomas como:
- Dor abdominal do lado direito, por baixo da costela;
- Inchaço abdominal;
- Perda de peso ou anorexia;
- Náuseas ou vômitos;
- Sensação de barriga cheia;
- Febre acima de 38ºC;
- Pele e olhos amarelados;
- Cansaço excessivo;
- alguns casos podem surgir sintomas como tosse com sangue ou coceira no corpo, dor intensa no abdômen e no ombro direito.
Tipos de cisto no fígado e tratamentos
O cisto no fígado geralmente não necessita de tratamento, mas são necessários exames periódicos para acompanhar o crescimento do cisto.
O cisto no fígado pode ser classificado de acordo com a sua causa, sendo os principais:
Cisto simples: é o tipo mais comum de cisto que tende a estar presente desde o nascimento e que geralmente apresenta tamanho menor que 4 cm, sem causar sintomas sendo apenas recomendado pelo médico consultas e exames periódicos para avaliar o crescimento do cisto. Além disso, geralmente não causa complicações e o tratamento não é necessário. Cistos hepáticos isolados costumam ser detectados incidentalmente por ultrassonografia ou TC abdominal. Em geral, são assintomáticos e não têm qualquer significado clínico.
A rara e congênita doença hepática policística está associada à doença policística dos rins e de outros órgãos. Produz hepatomegalia nodular progressiva (por vezes, maciça) em adultos. No entanto, a função hepatocelular é notavelmente bem preservada e a hipertensão portal se desenvolve raramente. Ocasionalmente, cistos muito grandes causam dor ou sintomas decorrentes da compressão de outros órgãos. Nesses casos, pode-se considerar intervenção como marsupialização ou drenagem de cistos; contudo, os cistos costumam recorrer. Portanto, raramente, sintomas graves ou questões de qualidade de vida justificam a consideração de transplante de fígado.
Os cistos que provocam sintomas pode ser feita aspiração percutânea ou laparoscopia. Quando há suspeita de malignidade, o cirurgião pode retirar o cisto, coletar uma amostra do líquido e fazer uma biópsia, de forma a entender se existem células cancerígenas.
-
Cistos hidáticos (equinococos): essa doença é causada por larvas semelhantes a cistos da tênia Echinococcus granulosus ; seres humanos são geralmente infectados por transmissão fecal-oral após entrarem em contato direto com fezes de animais infectados (p. ex., cães, ovelhas).
O tratamento mais recomendado é a cirurgia para remoção do cisto.
-
Cisto neoplásico: é o tipo mais raro de cisto no fígado que pode ser benigno ou maligno, como cistoadenoma ou cistoadenocarcinoma.
Geralmente, são múltiplos e de grande tamanho. O cisto neoplásico, assim como o hidático, também apresenta sintomas. Os mais comuns são dor no abdome, febre e sensação de fadiga. O tratamento é cirúrgico.
Caso sejam identificadas células cancerígenas, o tratamento pode ainda incluir uma nova cirurgia, para retirar uma parte do fígado, realização quimioterapia ou radioterapia, ou, em alguns casos, transplante de fígado.
-
Cistadenoma: essa doença rara às vezes causa dor ou anorexia. Ele é evidente na ultrassonografia e o tratamento consiste na ressecção do cisto pois existe o risco de malignização de até 15%.
A causa de um cistoadenoma não está determinado. Não está confirmado se o uso de anticoncepcionais ou a gravidez tenham relação. Ele comum em adultos, principalmente mulheres (85%). Idade geralmente de 40 a 50 anos. Corresponde a menos de 5% das lesões císticas hepáticas.
Atualmente é chamado de neoplasia cística mucinosa não invasiva. São tumores císticos raros que se formam dentro do fígado, e infrequentemente nos canais biliares extra-hepáticos.
Estas lesões podem atingir grande tamanho. Os sintomas mais comuns são massa abdominal, desconforto ou dor, e anorexia, por muitos anos antes do diagnóstico. Alguns pacientes não possuem sintomas, e o diagnóstico é realizado de forma incidental.
O diagnóstico definitivo só é feito após a retirada do cistoadenoma. Importante fazer a diferenciação com cistos simples, cisto hidático e cistoadenocarcinoma. Geralmente são únicos e de grande tamanho, 10 a 20 cm.
Alterações de exames da função do fígado raramente são encontradas. Os marcadores tumorais como a alfa-fetoproteína, CEA ou CA19-9 estão na maioria das vezes inalterados.
Ao ultrassom aparece como um nódulo hipoecóico, (mais escuro que o restante do fígado), irregular, com as paredes espessadas, e pode apresentar nódulos na parede. Apresenta septações, e debris no interior do cisto. Estes achados também podem ser encontrados em cistos complicados. Geralmente são únicos, podendo ser uni ou multilocular. Na Tomografia e ou Ressonância aparecem uma lesão cística, uni ou multilocular (mais frequente), podendo ter septações. A parede do cisto geralmente é espessa e ou irregular (no cisto simples, a parede é fina, regular, sem septações).
-
Cistadenocarcinoma: essa doença rara é provavelmente secundária à transformação maligna de um cistadenoma e muitas vezes é multilobular; o tratamento consiste na ressecção hepática.
Ele é chamado de neoplasia cística mucinosa com carcinoma invasivo. São tumores malignos císticos raros que se formam dentro do fígado, e infrequentemente nos canais biliares extra-hepáticos .
Não há fator de risco conhecido para o aparecimento do cistoadenocarcinoma tendo origem de um cistoadenoma. Eles são raros, afeta idosos com mais 60 anos, mas também há relatos de pessoas com mais 30 anos.
Estas lesões podem atingir grande tamanho. Os sintomas mais comuns são massa abdominal, desconforto ou dor, e anorexia, por muitos anos antes do diagnóstico. Alguns pacientes não possuem sintomas, e o diagnóstico é realizado de forma incidental.
O diagnóstico definitivo só é feito após a retirada do cistoadenocarcinoma.
Alterações de exames da função do fígado raramente são encontradas. Os marcadores tumorais como a alfa-fetoproteína, CEA ou CA19-9 geralmente estão inalterados.
Aparecem ao ultrassom uma lesão de grande tamanho, hipoecóico (mais branco que o restante do fígado), com as paredes espessadas, irregulares e com nódulos na parede. Apresenta septações, e debris no interior do cisto. Geralmente são únicos e multiloculados. Podem apresentar calcificações na parede.
Na Tomografia e ou Ressonância aparecem lesão cística, multilocular, com septações. A parede do cisto é espessa e ou irregular. Possui vegetações na parede interna, protruindo para o interior do cisto. Podem apresentar calcificações na parede.
A biopsia é contraindicada levando a sangramento e disseminação da doença pelo abdômen. O líquido possui coloração chocolate ou avermelhada e pode possui um alto nível de CEA. Eles invadem estruturas adjacentes e apesentar metástases para outros órgãos.
O tratamento é cirúrgico, com hepatectomia. Não é indicada somente a ressecção do cisto, devido ao risco de recorrência e piora do prognóstico. O prognóstico após a ressecção adequada, sem metástases, é muito bom. Geralmente cura. Os resultados com radioterapia e quimioterapia são desconhecidos e controversos.
-
Outros cistos hepáticos (são raros)
A Doença de Caroli é doença rara, autossômica e recessiva, caracterizada por dilatação segmentar cística dos canais biliares intra-hepáticos, tornando-se sintomática na idade adulta, com formação de cálculos, colangite e colangiocarcinoma.
Importante nos cistos hepáticos observar aumento de tamanho ao longo do tempo. Além disso, quando o cisto no fígado é do tipo neoplásico benigno, como o cistoadenoma, existe um risco maior de se tornar maligno (cistoadenocarcinoma).
2. Hiperplasia nodular focal
Ele é o segundo nódulo hepático mais frequente, comum em mulheres entre 20 e 50 anos. Na maioria das vezes não provoca sintomas, sendo achado em exames de rotina. Esta hiperplasia tem poucas chances de se tornar maligna, por isso só precisa de ser acompanhada com exames como ultrassom, tomografia ou ressonância magnética. O uso de pílula não favorece seu crescimento e não causa o nódulo.
O tratamento com cirurgia é recomendado quando há sintomas, dúvidas no diagnóstico quando há suspeita de ser um adenoma, que tem mais risco de malignização ou de ter complicações.
Na maior parte dos casos, as lesões permanecem estáveis em número e dimensão e raramente se verifica a progressão da doença.
A hiperplasia nodular focal não tem nenhuma dependência com os hormônios da mulher. Portanto, se não existe relação com os hormônios femininos, o comportamento da hiperplasia nodular focal não deve mudar na gravidez.
Ele tem geralmente cerca de 5 cm de diâmetro, podendo, embora raramente, alcançar mais de 15 cm de diâmetro.
Geralmente, este tumor é assintomático, sendo, na maior parte dos casos, encontrado acidentalmente em exames de imagem. Embora seja muito raro, pode eventualmente causar sintomas agudos devido a hemorragias.
Não é necessário realizar tratamento, pois é um tumor benigno sem um potencial maligno, a remoção cirúrgica só deve ser realizada em situações em que haja dúvidas no diagnóstico, em lesões evolutivas ou em pessoas que apresentem algum sintoma.
A suspensão do uso do anti-concepcional oral é controversa.

Hiperplasia nodular focal x adenoma hepático
Importante para relacionar relação com o hormônio feminino e o correto tratamento.
Não é recomendável ficar grávida sem um estrito controle. A gravidez será tranquila caso tenha certeza absoluta que é hiperplasia nodular focal e não adenoma hepático.
É possível que numa fase pós-parto haja uma variação de 5 a 10% do volume da hiperplasia que pode ser por edema ou por uma realocação, mas isso não preocupa.
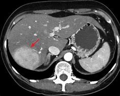
3. Hemangioma hepático
O hemangioma é uma malformação dos vasos sanguíneos congênita sendo o nódulo benigno do fígado mais comum sem causas muito bem definidas e não se sabe ao certo o que pode levar a esse enovelamento dos vasos sanguíneos do fígado Ele é encontrado acidentalmente em exames de rotina e a maioria são assintomáticos.
Eles são os tumores hepáticos benignos mais comuns, sendo compostos de múltiplos vasos revestidos por uma única camada de células endoteliais dentro de um estroma fibroso. Predomina em mulheres entre 30 e 50 anos com incidência familiar.
Podem aparecer em outros locais como na pele, por exemplo, caracterizado por manchas vermelhas. Já no fígado, surgem pequenos tumores, que em nada afetam a função hepática.
O diagnóstico costuma ser feito com ultrassom, tomografia ou ressonância.. Quando o hemangioma no fígado é pequeno, e não causa sintomas, ele não precisa ser tratado. Ou seja, necessita apenas de acompanhamento médico e exames anuais, ou a cada dois anos, para verificar se houveram alterações de tamanho da lesão.
A patogênese do hemangioma é mal compreendida, sendo possível uma dependência hormonal já que ocasionalmente é observado aumento mais na puberdade, gravidez ou com o uso de anticoncepcionais orais.
As mulheres que engravidaram são mais propensas a serem diagnosticadas com um hemangioma hepático do que as mulheres que nunca estiveram grávidas. Acredita-se que o hormônio estrogênio, que aumenta durante a gravidez, pode desempenhar um papel no crescimento do hemangioma hepático e as que usaram terapia de reposição hormonal para sintomas da menopausa podem ter maior probabilidade de serem diagnosticadas com um hemangioma no fígado do que não o fizeram.
O diagnóstico costuma ser feito com ultrassom, tomografia ou ressonância.. Quando o hemangioma no fígado é pequeno, e não causa sintomas, ele não precisa ser tratado. Ou seja, necessita apenas de acompanhamento médico e exames anuais, ou a cada dois anos, para verificar se houveram alterações de tamanho da lesão.
Acima de 8 a 10 cm e ou crescimento rápido pode comprimir a cápsula do fígado, causa dor e outros sintomas com sinais de malignidade e poderá ser removido (sinais inespecíficos, que poderiam se manifestar em qualquer outro quadro como dor ou desconforto abdominal, saciedade precoce, náuseas e vômitos).
Os “hemangiomas gigantes”, podem levar à síndrome de Kasabach-Merritt (SKM). A SKM referese a qualquer lesão vascular associada ao baixo número de plaquetas, consumo de fatores de coagulação e púrpura. Mas geralmente isso acontece mais frequentemente em tumores > 10 cm.
Ele não provoca alterações no funcionamento do fígado. O órgão continuará exercendo seu papel sem nenhuma dificuldade e prejuízos ao longo do tempo. Além disso, não há alterações nos exames sanguíneos.
A dor ou desconforto importante envolve retirada por cirurgia ou nos gigantes, transplante. Em alguns é possível bloquear o fluxo sanguíneo no hemangioma para murchar o hemangioma, facilitando cirurgia ou até mesmo aliviando os sintomas.
São classificados como gigantes, as lesões com mais de 10 cm de diâmetro.
Nesses casos, costuma causar algum incômodo, porque seu volume o leva a “dilatar” a cápsula do fígado, ou a empurrar outros órgãos e estruturas próximas.
Quando ocupam uma grande parcela do fígado não se rompe sozinha, mas se for grande demais, e a pessoa sofrer um trauma, então os vasos sanguíneos se rompem, ocasionando hemorragia interna.
Eles podem se formar coágulos em seu interior, condição que leva ao consumo de plaquetas, que por sua vez, aumenta a chance de hemorragias em outros órgãos.
Pela ausência de sintomas, o nódulo no fígado é descoberto quando o paciente realiza
- Ultrassonografia;
- Tomografia;
- Ressonância nuclear magnética.
Podem ser indicados outros exames, para nódulos duvidosos e não característicos de hemangioma, como:
- Arteriografia;
- Biópsia hepática (não deve ser realizada na suspeita de hemangioma);
- Exames laboratoriais
Tratamento cirúrgico
A indicação de cirurgia existe em casos extremos, apenas quando o tumor é classificado como gigante, e interfere na qualidade de vida do paciente.
Além disso, a cirurgia também pode ser indicada em casos pós-trauma, e com o sangramento da lesão. Desta forma, as indicações variam conforme a necessidade de cada um, sendo elas:
- Ressecção cirúrgica;
- Embolização;
- Ligadura da artéria hepática;
- Corticoterapia;
- Radioterapia.
O transplante hepático pode ser indicado para o tratamento do hemangioma gigante com síndrome compartimental. O tamanho do tumor em si não é um fator que indica a necessidade de tratamento.
Antes as cirurgias ocorriam com 3cm, depois 5cm, 7cm e agora maiores que 8cm, mas ela é uma lesão benigna.
Imagens que tenham um realce vascular, que tem outras características merece uma exploração muito cuidadosa com uma ressonância magnética.

Na maioria dos casos, uma abordagem conservadora é adequada mesmo em tumores gigantes sem SKM, quando essas lesões não exigem qualquer forma de tratamento. Não há contraindicação para gravidez ou utilização de anticoncepcionais orais na presença de um hemangioma assintomático estável.
Casos incidentais de SKM durante a gravidez podem ocorrer nas mulheres com hemangiomas hepáticos maiores que 5 cm. Na SKM pode ser considerada a cirurgia, embolização hepática percutânea, uso de corticosteroides e vincristina. Raramente, o transplante hepático pode ser indicado para os tumores extensos irressecáveis.
4. Adenoma hepático (AH)
O adenoma é um tumor benigno do fígado, raro frequente em mulheres entre os 20 e os 40 anos, já que o uso de pílula aumenta muito as chances de o desenvolver. Além da pílula, o uso de esteroides anabolizantes e gestação também podem aumentar as chances de o desenvolver.
Os tumores benignos mais frequentes são o hemangioma hepático, a hiperplasia nodular focal e o adenoma hepático. Dentre estes destacamos o adenoma hepático, 3° mais frequente, que por seu risco de sangramento e malignização, necessita de uma abordagem mais estreita.
O adenoma costuma ser encontrado durante os exames por queixas de dor abdominal ou, então, como achado acidental em exames de rotina. O diagnóstico pode ser feito com ultrassom, tomografia ou ressonância, que permitem distinguir adenoma de hiperplasia nodular focal do câncer de fígado, por exemplo.
Na maioria dos casos o adenoma tem menos de 1 cm e, por isso, baixo risco de ser câncer e de ter complicações como hemorragia ou ruptura, não precisa de tratamento e pode simplesmente ser acompanhado com exames regulares. No período da menopausa devem ser feitos anualmente. Já os adenomas com mais de 1 cm, têm maior risco de complicações ou malignizar, podendo ser removidos cirurgicamente.
Como não é grave e é considerado um tumor benigno, o adenoma geralmente não precisa de qualquer tipo específico de tratamento, sendo apenas recomendado manter vigilância com exames regulares, já que, embora seja muito baixo, existe risco de se tornar maligno ou romper, originando uma hemorragia interna.

Na maior parte dos casos o adenoma hepático não causa qualquer tipo de sintoma, no entanto, algumas pessoas podem referir a presença de uma dor leve e constante na região superior direita do abdômen.
Uma vez que o adenoma hepático é quase sempre benigno, a principal forma de tratamento consiste em fazer uma vigilância constante do seu tamanho, através de exames como tomografia computadorizada, ressonância magnética ou ultrassom. Porém, caso o adenoma surja numa mulher que está utilizando anticoncepcional se aconselha interromper o uso e optar por outro método contraceptivo, já que o uso da pílula pode estar contribuindo para o desenvolvimento do tumor. O mesmo acontece em pessoas estão utilizando algum tipo de anabolizante.
Porém, caso o adenoma surja numa mulher que está utilizando anticoncepcional se aconselha interromper o uso e optar por outro método contraceptivo. O mesmo acontece em pessoas estão utilizando algum tipo de anabolizante.
Se o tumor for crescendo ao longo do tempo ou se tiver mais de 5 cm, existe um maior risco de poder romper ou desenvolver câncer e, por isso, é comum a cirurgia para remover a lesão.
A cirurgia também pode ser aconselhada para mulheres que estejam pensando engravidar, já que existe maior risco de o adenoma causar complicações durante a gestação.
Caso o adenoma tenha rompido, o tratamento utilizado também é a cirurgia, para estancar a hemorragia e remover a lesão. Esta e o sangramento são mais comuns em tumores com mais de 5 cm e, por isso, o tratamento é quase sempre feito com cirurgia para retirar a lesão, porém, também podem acontecer em tumores menores.
A transformação em câncer é complicação rara, mas acontece quando o tumor continua crescendo e sofre transformação para um tumor maligno, conhecido como carcinoma hepatocelular. Nestes casos, é importante fazer o diagnóstico precoce para aumentar as chances de cura.
O adenoma hepático deixou recentemente de ser lesão de ressecção obrigatória; atualmente, adota-se conduta mais individualizada, visando menor morbimortalidade. À luz dos novos avanços da biologia molecular, cabe ao médico que o diagnostica identificar aqueles com potencial evolução desfavorável, para que nesses seja empregada conduta mais agressiva.
Os avanços na área da radiologia tornaram os exames de imagem mais sensíveis e específicos, assim como com maior disponibilidade para sua realização com baixo custo. A ultrassonografia é um grande exemplo, seu uso rotineiro trouxe benefícios e levantou questões acerca de doenças até então subdiagnosticadas.
Fisiopatologia
Os seguintes fatores estão intimamente relacionados
- Uso de contraceptivos orais
Fator responsável pelo aumento na incidência nos últimos 40 anos devido ao maior consumo pelas mulheres em idade fértil. Com o advento do uso dos anticoncepcionais orais sua incidência aumentou. Seu uso aumenta o tamanho, o número e risco de sangramento, assim como a descontinuidade do anticoncepcional oral pode determinar sua regressão.
Ainda não há na literatura justificativa exata sobre como os anticoncepcionais causam o surgimento dessa lesão
- Uso de esteróides anabolizantes
Utilizados para tratamento da síndrome de Fanconi ou para ganho de massa muscular, os esteróides anabolizantes cursam de forma semelhante aos anticoncepcionais. Seu uso predispõe ao surgimento e crescimento do AH, assim como a descontinuidade pode levar à regressão.
- Doenças de acúmulo do glicogênio
Ocorre em indivíduos menores de 20 anos, com maior proporção entre o sexo masculino, sendo os adenomas tipicamente múltiplos. O modo como a glicogenose predispõe ao surgimento do AH ainda é indeterminado. A incidência varia de 25 a 50% nas glicogenoses do tipo III e I, respectivamente. A adoção de dieta específica, assim como controle dos níveis séricos de insulina, glicose e glucagon podem levar à regressão do quadro.
Apresentação Clínica
O AH pode ser detectado em diferentes situações, uma vez que seu espectro clínico é variável.
Incidental-
Trata-se da forma mais comum de apresentação em exames radiológicos.
- Alterações clínico-laboratoriais
A sintomatologia quando presente não é exuberante. Discreta dor abdominal localizada em epigástrio e hipocôndrio direito e distensão abdominal são os sintomas mais encontrados. Laboratorialmente, elevações de enzimas canaliculares (fosfatase alcalina e gamaglutamil transferase) podem estar presentes. Nos casos com transformação maligna, pode-se observar elevação dos níveis séricos de alfafetoproteína.
- Emergencial
Uma das complicações do AH é sua rotura, seguida de hemoperitônio. Esta complicação pode ocorrer em 20 a 30% dos casos, especialmente em tumores maiores que 5 cm.
Apesar da rotura e hemoperitônio ser quadro potencialmente letal, as taxas de instabilidade hemodinâmica nestes casos são baixas. Uma vez que a ressecção hepática em âmbito emergencial atinge mortalidade em torno dos 8%, necessitando reposição volêmica com estabilização hemodinâmica seguida de embolização do tumor através da artéria hepática por radiologia intervencionista. Este procedimento resulta na diminuição tumoral, facilitando eventual ressecção eletiva ou até mesmo permitindo conduta conservadora devido à redução nas dimensões do tumor que reduz as chances de nova hemorragia e a raridade da coexistência de hemorragia com malignização.
Diagnóstico
A ultrassonografia de abdome por vezes não consegue diferenciá-lo de outras lesões benignas ou até mesmo malignas. Pode detectar lesão bem delimitada, heterogênea e com áreas de hemorragia intratumoral (calcificações e heterogeneidade) ou áreas com necrose (hiperecogenicidade).
A tomografia computadorizada de abdome revela lesão bem delimitada, com hipervascularização irregular após administração de contraste. Geralmente tem aspecto heterogêneo devido à hemorragia, necrose e fibrose.
A ressonância revela os mesmos aspectos da TC e a maioria apresenta hipersinal em T1 e T2. Pode identificar a presença de gordura no nódulo.
O mapeamento radioisotópico empregando derivados do ácido iminodiacético marcado com 99mTc (DISIDA) revela lesão que capta o radiotraçador, com eliminação lentificada em relação ao restante do parênquima. A hiperplasia nodular focal apresenta o mesmo achado no DISIDA.
Para diferenciar da hiperplasia nodular focal, a cintilografia com enxofre coloidal que marca as células do sistema retículo endotelial, no fígado representado pelas células de Kupffer, deve ser utilizada. Por não apresentar células de Kupffer, ou apresentá-las em estado não funcionante, o AH caracteriza-se como lesão não captante na cintilografia. Já a hiperplasia nodular focal, onde se encontram células de Kupffer funcionantes, apresenta-se como lesão captante ou hipercaptante.
A biópsia transparietal é considerada conduta de exceção, uma vez que a hemorragia pode ocorrer após biópsia nestes nódulos hipervasculares. Indica-se o procedimento quando os exames de imagem não confirmam o diagnóstico. O diagnóstico de certeza é realizado através de exame anatomopatológico, obtido por biópsia ou ressecção. Portanto, cabe à radiologia sugerir o diagnóstico da lesão e auxiliar no diferencial entre os diversos tipos de nódulos hepáticos.
O diagnóstico do tumor hepático benigno reveste-se de total importância, visto que as condutas são opostas, variando entre a ressecção e o acompanhamento relatam taxa de diagnóstico do AH em 90% dos casos através dos exames de imagem e em 77% das hiperplasias nodulares focais. Concluem que nos casos duvidosos, a biópsia pode ser necessária para a conduta.
Conduta
O melhor conhecimento da doença, a evolução das técnicas cirúrgicas e da biologia molecular, algumas mudanças na conduta são atualmente adotadas. São elas:
a) ressecção de todos adenomas com mais de 5 cm, mesmo em pacientes com adenomatose;
b) ressecção por via laparoscópica nos tumores com indicação cirúrgica em segmentos anatomicamente favoráveis, como no setor lateral esquerdo (segmentos 2 e 3) e os anteriores (4b, 5, 6) se beneficiam da ressecção laparoscópica;
c) conduta baseada na biologia molecular; novos estudos permitiram identificar quais tumores tem maior ou menor chance de evoluir com malignização.
Por ser um tumor raro, os estudos disponíveis na literatura ainda não têm grande significância quantitativa, mas os resultados atualmente disponíveis já são suficientes para levantar controvérsia acerca da melhor conduta a ser adotada, ou seja, observar ou ressecar o tumor.
Hoje, a ressecção de AH sintomáticos ou maiores que 5 cm devido ao risco de malignização; lesões menores assintomáticas são observadas e o uso de anticoncepcional oral é suspenso.
Em breve a melhor conduta será baseada de acordo com a biologia molecular do tumor, pesquisada através de análise histológica do tecido obtido por biópsia transparietal.
Biologia molecular
Os adenomas hepáticos são divididos em quatro subtipos de acordo com alterações genéticas e inflamatórias. Descreve duas alterações genéticas: a inativação do fator nuclear do hepatócito α1 (HNFα1) e a mutação da β-catenina.
O primeiro subgrupo (40%) é caracterizado pela inativação bialélica do HNFα1; em 85% dos casos a inativação é somática e em 15 % é em parte somática e em parte hereditária. Associa-se à acentuada esteatose e doença metabólica, assim como ausência de alterações citológicas ou inflamatórias. A mutação no gene HNFα1 e sua relação com a transformação maligna se faz presente, porém de forma rara (15% dos casos).
O segundo subgrupo (10%) é caracterizado pela mutação na β-catenina e maior associação com transformação maligna. A mutação é caracterizada pela deleção do exon 3 ou alteração na cadeia de aminoácidos levando a alterações na fosforilação. É mais comum no sexo masculino; possuem alterações citoplasmáticas e menor índice de esteatose.
O terceiro subgrupo (40%) não apresenta alterações genéticas e é caracterizado por alterações inflamatórias como dilatação sinusoidal, vasos distróficos e reação ductular. Substituem o então chamado grupo da hiperplasia nodular focal teleangiectásica.
O quarto subgrupo (10%) inclui pacientes cujos tumores não apresentam alterações genéticas ou inflamatórias.
Propõe-se basear a conduta na biologia molecular do tumor, uma vez que foram identificadas alterações que podem predizer a malignização. Quanto ao risco de hemorragia, nenhum fator preditor seja ele molecular ou histopatológico foi identificado.
Em resumo
- Inflamatório: é o mais comum e apresenta uma taxa de rompimento maior;
- Mutação HNF1α: é o segundo tipo mais frequente, podendo surgir mais do que um adenoma no fígado;
- Mutação ß-catenina: são pouco comuns e surgem principalmente em homens que utilizam anabolizantes;
- Não classificável:
- é um tipo de tumor que não pode ser incluído em nenhum outro tipo.




