Metastases e tumores primários
Por Dr. Nelson de Souza Liboni
Compartilhe:
Tumores hepáticos
O fígado é constituído principalmente por vasos sanguíneos especiais denominados sinusóides. Apesar das suas diversas funções, ele apresenta uma variedade muito pequena de células, sendo que duas são responsáveis por grande parte do funcionamento do órgão: os hepatócitos e as células biliares. São essas células que podem sofrer alterações na sua estrutura genética levando ao câncer.
Os tumores malignos de fígado podem ser divididos em dois tipos: câncer primário (que tem sua origem no próprio órgão) e secundário ou metastático (originado em outro órgão e que atinge também o fígado).
Dentre os tumores originados no fígado, o mais frequente é o hepatocarcinoma ou carcinoma hepatocelular. Agressivo, ocorre em mais de 80% dos casos.
Outros tipos de câncer primário de fígado são o colangiocarcinoma (originado nos dutos biliares do fígado), o angiossarcoma (câncer raro que se origina nos vasos sanguíneos do órgão) e o hepatoblastoma, tumor maligno raro que atinge recém-nascidos e crianças nos primeiros anos de vida.
HEPATOCARCINOMA
O hepatocarcinoma é o câncer de fígado que surgiu de hepatócitos.
Raramente ocorrem em pessoas sadias, mas certas toxinas, como a aflatoxina (encontrada em amendoins contaminados, por exemplo) podem levar ao tumor mas em sua grande maioria ocorrem nos portadores de cirrose hepática.
A cirrose hepática é o processo final de diversas doenças do fígado: as hepatites, as lesões pelo álcool, o uso de certas medicações, a hemocromatose (acúmulo de ferro) e as colangites, entre outras, provocando a destruição dos hepatócitos, lentamente, formação de cicatrizes no interior do fígado, determinando a cirrose. A maioria das cirroses atualmente são causadas pelas hepatites B e C e pela esteato-hepatite não alcoólica . O alcoolismo ainda é um fator importante.
No início, mesmo a cirrose pode ser silenciosa (cerca de 40% dos casos). Os sintomas mais comuns são fraqueza, fadiga, perda do apetite, emagrecimento, hematomas e sangramentos espontâneos, irregularidade menstrual, icterícia (pele e olhos amarelados, pelo acúmulo de bile no sangue) e dificuldade de manter a concentração. Também podem ser mais graves, como o coma, vômitos com sangue e ascite (acúmulo de líquido no abdome).
Pessoas com maior risco de cirrose:
- História familiar:Hemocromatose, doença de Wilson, deficiência de a 1- antitripsina, fibrose cística, talassemia;
- Etilismo (geralmente > 50g/dia):Lesões hepáticas causadas pelo álcool (cirrose, esteatose, hepatite alcoólica) Hiperlipidemia, diabetes, obesidade:Esteatose hepática;
- Exposições parenterais (drogadição, profissionais de saúde),transfusão sangüíneaHepatites B e C;
- Doenças autoimunes e colite ulcerativa :Hepatite autoimune, cirrose biliar primária, colangite esclerosante primária;
- Cirurgia hepatobiliar:Estenose dos ductos biliares;
- Medicações :Hepatopatias induzidas por drogas.
O hepatocarcinoma surge do mesmo processo de destruição e multiplicação de células que leva à cirrose, através de mecanismos ainda não bem esclarecidos. De um modo geral, considera-se que uma pessoa portadora de cirrose silenciosa ou pouco sintomática tenha risco de 5% ao ano de desenvolver hepatocarcinoma.
Ele é altamente maligno, dobra o seu volume a cada 180 dias em média e alta morbidade. Daí a necessidade do diagnóstico precoce do hepatocarcinoma, quando este ainda tem boas opções de tratamento e chance de cura.
Os portadores de cirrose devem acompanhadas rotineiramente por um especialista. O método mais recomendado para isso é a ultrassonografia abdominal e exame de sangue como a dosagem de alfa-fetoproteína.
Devido ao curto tempo de evolução do hepatocarcinoma, geralmente o tumor se encontra avançado quando é feito o diagnóstico. O tempo de duplicação do volume de massa é, em média, de quatro meses.
Outros exames para o diagnóstico:
- Tomografia computadorizada
- Ressonância Nuclear Magnética (RNM)
- Laparoscopia ( visualização direta do órgão e a biópsia e muito eficaz quando associado à ultra-sonografia videolaparoscópica).
Uma vez diagnosticado um hepatocarcinoma precoce (menor que 2 cm de diâmetro e sem sinais de acometer outros órgãos), há várias opções de tratamento. A remoção cirúrgica (ressecção) do tumor é o tratamento mais indicado quando o tumor está restrito a uma parte do fígado (tumor primário) e também nos tumores hepáticos metastáticos em que a lesão primária foi ressecada ou é passível de ser ressecada de maneira curativa.
Outra opção é a hepatectomia, cirurgia onde é retirada a porção do fígado onde está localizado o tumor.
Uma terceira opção, é o tratamento percutâneo (pela pele) do tumor. Nessa modalidade terapêutica, o tumor é destruído sem a necessidade de cirurgia. A injeção percutânea de etanol (PEI) é um método simples, realizado sob anestesia local e com raras complicações. Com o auxílio do ultra-som, é introduzida uma agulha especial no centro do tumor, através da pele, onde é administrado álcool absoluto (a 100%), provocando a destruição do câncer.
Outro método é a introdução de uma agulha que emite microondas ou radiofrequência no centro da lesão, com efeito semelhante. Apesar de simples, rápido e seguro, o tratamento percutâneo não é tão eficaz quanto o cirúrgico, podendo ser utilizado antes da cirurgia ou em pessoas que não possam ou não aceitem a cirurgia.
A ablação hepática percutânea é normalmente indicada em pacientes que apresentam uma ou mais das seguintes condições: Tumor maligno primário medindo até 3,5 cm; Nódulos malignos secundários no fígado (máximo de 5 nódulos medindo até 3,5 cm cada), conquanto que a neoplasia primária esteja controlada.
Um outro tratamento cada vez mais utilizado como paliativo é a quimioembolização da lesão.
A embolização é a injeção de substâncias diretamente em uma artéria do fígado para obstruir ou diminuir o fluxo sanguíneo que chega às células cancerígenas sendo uma opção para pacientes cujos tumores não podem ser removidos cirurgicamente. Ela pode ser usada para tumores grandes (geralmente maiores do que cinco centímetros de diâmetro) e que não podem ser tratados por ablação. A embolização reduz parcialmente o fornecimento de sangue ao tecido hepático normal, por isso não é uma boa opção para alguns pacientes cujo fígado está acometido por doenças como hepatite ou cirrose.
Ela pode ser usada para tumores grandes (geralmente maiores do que cinco centímetros de diâmetro) e que não podem ser tratados por ablação. A embolização reduz parcialmente o fornecimento de sangue ao tecido hepático normal, por isso não é uma boa opção para alguns pacientes cujo fígado está acometido por doenças como hepatite ou cirrose.
Os tipos de embolização utilizados são:
- Embolização transarterial (TAE). Nesse procedimento um cateter é inserido por uma artéria por meio de um pequeno corte na parte interna da coxa (região inguinal) até chegar à artéria hepática. Pequenas esferas são injetadas na artéria para obstruí-la, bloqueando assim o oxigênio e os principais nutrientes que chegam ao tumor.
- Quimioembolização transarterial (TACE). Essa técnica é a primeira a ser usada para o câncer de fígado que não pode ser tratado cirurgicamente ou por ablação. Ela combina embolização com quimioterapia.
- Quimioembolização de esferas farmacológicas (DEB-TACE). Essa técnica combina a embolização TACE com esferas farmacológicas (pequenas esferas que contêm um medicamento quimioterápico). O procedimento é essencialmente o mesmo que a TACE, exceto que a artéria é obstruída após a injeção das esferas farmacológicas. Como a quimioterapia é injetada próxima ao tumor e as esferas farmacológicas liberam lentamente a quimioterapia é mais provável que as células cancerígenas sejam destruídas e morram.
- Radioembolização. Essa técnica combina embolização e radioterapia e consiste em injetar microesferas radioativas na artéria hepática. As microesferas de ítrio 90 (Y-90) são introduzidas e se alojam nos vasos sanguíneos próximos ao tumor, emitindo radiação à lesão por alguns dias e seus efeitos se limitam principalmente ao tumor.
Podem ocorrer possíveis efeitos colaterais após a embolização para câncer de fígado incluem dor abdominal, febre, náuseas, infecção no fígado e formação de coágulos sanguíneos nos principais vasos hepáticos.
Felizmente, recentemente foram demonstrados resultados animadores com a quimioterapia sistêmica oral com sorafenibe (nexavar®), que já faz parte do esquema terapêutico em situações onde as outras opções não são adequadas.
Ainda existe o transplante do fígado em determinados casos.
Prevenção
A cirrose hepática está na origem de metade dos casos de hepatocarcinoma. Para não desenvolver cirrose hepática é preciso controlar a quantidade de álcool ingerida, nunca ultrapassando duas doses por dia. Já a transmissão do vírus da hepatite B pode ser prevenida pela vacinação.
Alimentação com alto teor de fibras (grãos inteiros, cereais, legumes e frutas) e baixo teor em gorduras saturadas previne vários tipos de câncer, como os do intestino, do reto, de mama e o de pulmão, tipos conhecidos por desencadear metástase para o fígado.
Porém, é preciso atenção à origem de grãos e cereais, já que quando armazenados em locais inadequados e úmidos podem ser contaminados pelo fungo Aspergillus flavus, que produz a substância cancerígena aflatoxina, que é fator de risco para o hepatocarcinoma.
COLANGIOCARCINOMA
O colangiocarcinoma é o câncer derivado das células biliares, tanto no interior quanto no exterior do fígado (vesícula e ductos biliares). Surge principalmente em homens (3 homens para cada mulher), geralmente entre os 70 e 80 anos.
A incidência dessa doença é de 2 a 2,8 casos a cada 100.000 pessoas. As pessoas de maior risco são aquelas portadoras de parasitas das vias biliares (raros no Brasil,relacionado a inflamações das vias biliares, principalmente a infestação por um parasita do aparelho digestivo o clonorchis sinensis, muito frequente nos países asiáticos e africanos.), colangite esclerosante primária (outra doença que pode levar à cirrose), colite ulcerativa (doença que leva a diarréia crônica, com episódios de sangramento, em adultos jovens) e cálculos biliares.
Esse tipo de câncer cresce silenciosamente nos canais biliares até que estes sejam obstruídos, levando aos sintomas de icterícia, fezes claras e urina escura, além de perda do apetite e emagrecimento. O diagnóstico freqüentemente só é feito após o início dos sintomas, quando as possibilidades de tratamento são poucas e geralmente ineficazes. Quando descoberto em tempo, o tratamento é cirúrgico. Quando este não pode mais ser realizado, são utilizados outros métodos de desobstrução dos canais biliares, para melhorar a qualidade de vida.
Angiocarcinoma
Associado ao potencial carcinogênico de substâncias químicas como cloreto de vinil, usado na fabricação de alguns tipos de plástico, os arsenicais inorgânicos e o Thorotraste (solução de dióxido de tório).
Cisto neoplásico
Ele é o tipo mais raro de cisto no fígado que pode ser benigno ou maligno, como cistoadenoma ou cistoadenocarcinoma. Geralmente, são múltiplos e de grande tamanho. O cisto neoplásico, assim como o hidático, também apresenta sintomas. Os mais comuns são dor no abdome, febre e sensação de fadiga. O tratamento é cirúrgico.
Cistoadenocarcinoma
O Cistadenoma é raro , pode causar dor ou anorexia. Ele é evidente na ultrassonografia e o tratamento consiste na ressecção do cisto pois existe o risco de malignização de até 15%.
A causa de um cistoadenoma não está determinado. Não está confirmado se o uso de anticoncepcionais ou a gravidez tenham relação. Ele comum em adultos, principalmente mulheres (85%). Idade geralmente de 40 a 50 anos. Corresponde a menos de 5% das lesões císticas hepáticas.
Atualmente é chamado de neoplasia cística mucinosa não invasiva. São tumores císticos raros que se formam dentro do fígado, e infrequentemente nos canais biliares extra-hepáticos.
Estas lesões podem atingir grande tamanho. Os sintomas mais comuns são massa abdominal, desconforto ou dor, e anorexia, por muitos anos antes do diagnóstico. Alguns pacientes não possuem sintomas, e o diagnóstico é realizado de forma incidental.
O diagnóstico definitivo só é feito após a retirada do cistoadenoma. Importante fazer a diferenciação com cistos simples, cisto hidático e cistoadenocarcinoma. Geralmente são únicos e de grande tamanho, 10 a 20 cm.
Alterações de exames da função do fígado raramente são encontradas. Os marcadores tumorais como a alfa-fetoproteína, CEA ou CA19-9 estão na maioria das vezes inalterados.
Ao ultrassom aparece como um nódulo hipoecóico, (mais escuro que o restante do fígado), irregular, com as paredes espessadas, e pode apresentar nódulos na parede.
Apresenta septações, e debris no interior do cisto. Estes achados também podem ser encontrados em cistos complicados. Geralmente são únicos, podendo ser uni ou multilocular. Na Tomografia e ou Ressonância aparecem uma lesão cística, uni ou multilocular (mais frequente), podendo ter septações. A parede do cisto geralmente é espessa e ou irregular (no cisto simples, a parede é fina, regular, sem septações).
O Cistadenocarcinoma é raro, provavelmente secundária à transformação maligna de um cistadenoma e muitas vezes é multilobular; o tratamento consiste na ressecção hepática.
Ele é chamado de neoplasia cística mucinosa com carcinoma invasivo. São tumores malignos císticos raros que se formam dentro do fígado, e infrequentemente nos canais biliares extra-hepáticos .
Não há fator de risco conhecido para o aparecimento do cistoadenocarcinoma tendo origem de um cistoadenoma. Eles são raros, afeta idosos com mais 60 anos, mas também há relatos de pessoas com mais 30 anos.
Estas lesões podem atingir grande tamanho. Os sintomas mais comuns são massa abdominal, desconforto ou dor, e anorexia, por muitos anos antes do diagnóstico. Alguns pacientes não possuem sintomas, e o diagnóstico é realizado de forma incidental.
O diagnóstico definitivo só é feito após a retirada do cistoadenocarcinoma.
Alterações de exames da função do fígado raramente são encontradas. Os marcadores tumorais como a alfa-fetoproteína, CEA ou CA19-9 geralmente estão inalterados.
Aparecem ao ultrassom uma lesão de grande tamanho, hipoecóico (mais branco que o restante do fígado), com as paredes espessadas, irregulares e com nódulos na parede. Apresenta septações, e debris no interior do cisto. Geralmente são únicos e multiloculados. Podem apresentar calcificações na parede.
Na Tomografia e ou Ressonância aparecem lesão cística, multilocular, com septações. A parede do cisto é espessa e ou irregular. Possui vegetações na parede interna, protruindo para o interior do cisto. Podem apresentar calcificações na parede.
A biopsia é contraindicada levando a sangramento e disseminação da doença pelo abdômen. O líquido possui coloração chocolate ou avermelhada e pode possui um alto nível de CEA. Eles invadem estruturas adjacentes e apesentar metástases para outros órgãos.
O tratamento é cirúrgico, com hepatectomia. Não é indicada somente a ressecção do cisto, devido ao risco de recorrência e piora do prognóstico. O prognóstico após a ressecção adequada, sem metástases, é muito bom. Geralmente cura. Os resultados com radioterapia e quimioterapia são desconhecidos e controversos.
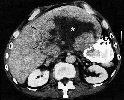
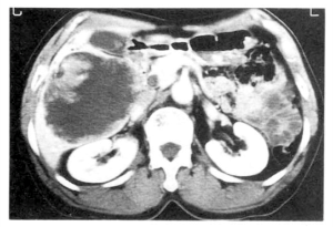
Metástases hepáticas
A metástase no fígado ocorre quando um câncer, originário de outros lugares do corpo, atinge o órgão (diferente do câncer primário de fígado).
As células de câncer vão desde o local principal até um tecido normal próximo, movendo-se por meio das paredes dos vasos linfáticos e vasos sanguíneos.. Logo após, elas migram pelo sistema linfático e circulação sanguínea para outras partes do corpo humano. Ao chegar a um local distante eles invadem tecidos próximos.
O fígado recebe sangue diretamente de diversos órgão. Por esse e outros motivos, é nele que a grande parte das células cancerosas se alojam.
As localizações originais mais comuns : vesícula, pâncreas, colon e reto, mamas, pele, estomago, pulmão, bexiga, útero, esôfago, rim e próstata.
O diagnóstico de uma metástase hepática pode ser realizado durante a investigação de um tumor em outros órgãos, ou pode ser a primeira manifestação de um câncer de outra localidade. Em alguns casos, apenas a metástase hepática é descoberta e a localização inicial do tumor permanece desconhecida.
Isso pode acontecer num exame físico, devido ao inchaço do fígado e a descrição dos sinais pelo paciente atingido. Em estágio inicial, esse tumor é difícil de ser notado, pois os sintomas só começam a aparecer em situações mais avançadas.
Os exames complementares, como tomografia abdominal, ultrassonografia e ressonância magnética ajudam.
Em geral, a ultrassonografia ajuda, mas a tomografia computadorizada (TC) e a ressonância magnética (RM) do fígado são mais precisas na detecção do câncer.
Uma biópsia hepática (remoção de uma amostra de tecido hepático com uma agulha para exame ao microscópio) é realizada se o diagnóstico for incerto após os exames de imagem ou se mais informações forem necessárias para ajudar nas decisões de tratamento.
A biopsia pode ser feita pela ultrassonografia ou TC, que guia o posicionamento da agulha de biópsia. Como alternativa, os médicos podem inserir um tubo de visualização flexível (laparoscópio) por uma pequena incisão no abdômen para identificar melhor e obter um tecido canceroso.
No fígado, as lesões tendem a ser maiores e múltiplas. Muitas vezes os sintomas iniciais podem ser os mesmos de uma cirrose hepática severa.
O tratamento é muito variado dependendo do tipo de tumor e a sua origem. De modo geral, o tratamento é cirúrgico ou quimioterápico, reservando-se outros procedimentos como os percutâneos apenas para casos excepcionais.
Os cânceres provenientes das vias biliares e de outros órgãos que metastatizam para o fígado tem um prognóstico mais reservado, também dependendo do estágio do tumor. É fundamental que o diagnóstico seja realizado rapidamente para melhorar as possibilidades de cura.
Estima-se que cerca de 60% a 70% dos pacientes com câncer de intestino tem chance de desenvolver o problema até mesmo pelo fornecimento de sangue do intestino está diretamente ligado ao fígado pela veia porta.
O tratamento pode ser feito por terapia sistêmica:
- Quimioterapia: utilização de medicamentos, para destruir, controlar ou inibir o crescimento das células doentes;
- Imunoterapia: com o uso de anticorpos, fatores de crescimentos e vacinas;
- Terapia-alvo: drogas são usadas para identificar e conter o funcionamento de partes do câncer;
- Hormonioterapia: tem o objetivo de impedir a ação dos hormônios, responsáveis pelo crescimento das células do câncer;
Além disso, as metástases no fígado podem ser tratadas com terapias localizadas:
- Cirurgia: em casos de estágio inicial, a retirada do tumor é mais fácil e com maior chance de cura;
- Radioterapia: radiação ionizante onde está localizado o câncer;
- Ainda existe o transplante do fígado em determinados casos (neuro endócrinos por exemplo).
A escolha dependerá do caso de cada paciente, e de como o tumor está evoluindo, bem como o tamanho, localização e quantidade, idade e estado de saúde do indivíduo.




