Esofagite Eosinofílica
Por Dr. Nelson de Souza Liboni
Compartilhe:
Introdução
A esofagite eosinofílica é uma doença cada vez mais reconhecida que pode surgir a qualquer momento entre a infância e a idade adulta jovem; ela ocasionalmente se manifesta em idosos. Ela é mais comum entre homens.
Doença inflamatória crônica com intenso infiltrado eosinofílico na mucosa esofágica, relacionado a quadros de alergia e mecanismos imunológicos associados.
É também uma doença onde as informaçoes clínicas e patológicas devem ser consideradas em conjunto, sem nenhum destes parâmetros interpretados isoladamente. É importante destacar que classicamente definida como uma doença exclusivamente esofágica, e o achado de eosinófilos em grande quantidade em outros sítios do trato gastrintestinal nos remete a outras doenças.
A causa da esofagite eosinofílica é provavelmente uma resposta imunitária a antígenos alimentares em pacientes com suscetibilidade genética; os alergênios ambientais também podem desempenhar algum papel. Inflamação esofágica crônica não tratada pode por fim levar a estreitamento e estenose esofágica.
A suscetilibidade genética esta em estudo e trata-se de uma "enfermidade crônica/antígeno-imune mediada" caracterizada clinicamente por sintomas relacionados à disfunção esofágica e histologicamente por inflamação predominantemente eosinofílica.
A esofagite eosinofílica foi descrita pela primeira vez em 1978 por Landres e cols., e , desde 1993, é reconhecida como uma doença, porém somente nos últimos 10 anos houve aumento de publicaçoes sobre o tema.
Sua prevalência vem aumentando principalmente em países ocidentalizados e áreas geográficas com maior desenvolvimento socioeconômico, e pode afetar indivíduos de todas as idades e raças, sendo mais frequente em caucasianos, do sexo masculino, e está fortemente associada a outras doenças atópicas
O diferencial com DRGE( doença do refluxo gastro esofágico) é difícil. Suspeita maior com homens jovens (crianças e homens de 30 a 40 ), disfagia, história de impactação, antecedentes de atopia, DRGE sem melhora com IBP.
O diagnostico é endoscopia com biopsia. O tratamento inclui inibidores de bomba de prótons, corticoides tópicos, alteração da dieta e alguns casos, dilatação esofágica.
Ela é uma importante causa de disfagia e impactaçao alimentar em adultos, sendo considerada a segunda causa mais comum de esofagite crônica, após o refluxo gastroesofágico
Critérios diagnósticos :
-Sintomas podem ser semelhantes a DRGE, disfagia e impactação
Lactentes e crianças podem manifestar recusa alimentar, vômitos, perda ponderal, dor abdominal e/ou dor torácica.
Em adultos, a impactação alimentar esofágica é, às vezes, a primeira manifestação e a maioria dos pacientes tem disfagia. Podem ocorrer sintomas da doença do refluxo gastresofágico (DRGE), como azia.
Os pacientes muitas vezes também apresentam manifestações de outros distúrbios atópicos (p. ex., asma, eczema, rinite alérgica).
- Biópsia esofágica com contagem de eosinófilos nas biopsias endoscópicas intra epiteliais > 15 eosinófilos em pelo menos 1 campo de grande aumento(x400)

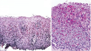
Aspecto microscópico da mucosa esofágica evidenciando intenso infiltrado eosinofílico na mucosa
(esquerda) e formação de abcessos eosinofílicos (direita).
As biópsias esofágicas sao mandatórias para diagnostico, pois estudos apontam que 10 a 20% dos doentes com esofagite eosinofilica podem ter um esôfago endoscopicamente normal. Neste contexto, recomenda-se a realizaçao de biópsias esofágicas em todos os doentes suspeitos, incluindo todos aqueles submetidos a EDA para disfagia sem causa aparente, independentemente dos achados endoscópicos. É necessário realizar biópsia do esôfago, estômago, e duodeno, especialmente na primeira endoscopia, para descartar outras doenças gastrintestinais que também cursam com infiltrados eosinofílicos.
É reconhecido que uma biópsia isolada esofágica tem baixa sensibilidade (55%) para o diagnóstico de esofagite eosinofilica e realizar o mínimo de seis biópsias aumenta a sensibilidade para 99%. As biópsias em esôfago médio e distal ajudam a distinguir da eosinofilia associada à esofagite de refluxo, pois há nesta última menor concentraçao de eosinófilos no esôfago proximal. Focalizar biópsias em sulcos e exsudatos também pode melhorar a sensibilidade. Com base em diretrizes, o diagnóstico requer 15 eosinófilos ou mais por campo de grande aumento em pelo menos um sítio esofágico
- sem resposta ao IBP(inibidor de bomba de prótons) em doses elevadas
- ph metria normal
- endoscopia com finos sulcos longitudinais, friabilidade de mucosa; pontilhado, exudativo; formações polipoides mucosa aveludada; ondulações transversais ou anulares; estreitamento, etc

Estrias longitudinais e fragilidade da mucosa


Anéis ou traqueização do esôfago


Aspectos exudativo (de moniliase)
-Alterações imunologicas:- aumento de cels T, mastócitos, interleucina 5, fator de necrose tumoral alfa etc
- Esofagografia com bário (EED) pode mostrar anéis circulares empilhados, sulcos longitudinais, esôfago estreitado ou estenoses. Estudos recentes relataram que 71% dos adultos, e 55% das crianças com esofagite eosinofílica nao tinham estreitamento esofágico reconhecido no momento da EDA, mas tinham evidências de estreitamento no momento da esofagografia
Testes para alergias a alimentos- a fim de identificar possíveis gatilhos, mas que têm beneficio mínimo porque não se considera que a esofagite eosinofílica seja mediada pela IgE.
Diferencial
FISIOPATOLOGIA
Embora não se tenha exatamente definidas as causas da gênese, ocorre uma interação entre as características genéticas e os fatores ambientais de cada paciente.
O parto cesariano e o prematuro, exposição a antibióticos durante a infância, alergia alimentar, falta de aleitamento materno, permanência em uma área de menor densidade populacional e a falta de exposição precoce aos micróbios têm sido associados à esofagite eosinofílica, conferindo a essa doença uma "assinatura" epigenética.
Existe o polimorfismo do nucleotídeo no gene CCL26 que codifica a eotaxina-3 (CCL26) altamente expresso em pacientes com esofagite eosinofilica comparado com indivíduos saudáveis.
A eosinofilia e mastocitose tecidual estão fortemente associadas aos níveis de RNAm, e de proteína de eotaxina-3 esofágicos. Além disso, o polimorfismo de um único nucleotídeo no gene da eotaxina-3 em humanos foi associado com susceptibilidade à doença e desempenha um papel importante na quimiotaxia de eosinófilos.
Histologicamente existe um infiltrado inflamatório crônico que inclui eosinófilos, mastócitos, basófilos e células T, que produzem citocinas do perfil Th2 (IL-4 e IL-13) e promovem inflamação e disfunção adicional.
Muitas citocinas estao implicadas na cascata inflamatória da esofagite, em especial a linfopoetina estromal tímica (TSLP) que representa um regulador fundamental da inflamação alérgica do tipo Th-2. É secretada por células de linhagem não hematopoiética, tais como células epiteliais, fibroblastos e células de músculo liso em resposta a citocinas atópicas (IL-4, IL13, TNFa) e alérgenos ambientais. A TSLP encontrase aumentada nas biópsias esofágicas de indivíduos com esofagite eosinofilica, em comparação com indivíduos não portadores da esofagite e é mais expressa em barreiras epiteliais, incluindo a epiderme na dermatite atópica.
O comprometimento do epitélio da mucosa esofágica pode estar relacionado a disfunções na IL-13, desmogleina 1 (DSG1) e filagrinas. A IL-13 ativa a inflamação local nas doenças relacionadas com o Th-2, além de regular negativamente a DSG1 e as filagrinas, que atuam na adesão intercelular e estao acentuadamente diminuídas nas biópsias esofágicas de doentes com esofagite eosinofilica. Essa permeabilidade epitelial alterada pode levar a um ambiente que facilita a apresentação do antígeno, o que, por sua vez, leva ao recrutamento de eosinófilos.
Sintomas clínicos, como impactação alimentar e a disfagia sao consequência direta do remodelamento da mucosa esofágica e fibrose. Os eosinófilos sintetizam e liberam muitas proteínas e mediadores, em particular a proteína básica principal (MBP), a proteína catiônica eosinofílica, a peroxidase eosinofílica, a neurotoxina derivada de eosinófilo, o TGF-β, a IL-13, e o fator de ativação de plaquetas (PAF). Embora todos estes mediadores desempenhem um papel fundamental no dano dos tecidos e remodelação, os dados mais consistentes relacionam-se à MBP e ao TGF-β. A MBP é capaz de danificar diretamente as células epiteliais, mas também induzir a desgranulação dos mastócitos, aumentando a liberação de enzimas proteolíticas, triptase e quimase, que participam ainda mais da desconstrução da matriz extracelular. Do mesmo modo, o TGF-β ativa a produção de colágeno pelas células epiteliais, contribuindo para a fibrose e sintomas de dismotilidade.
Em resumo: a esofagite é uma doença multifatorial que abrange alterações genéticas, ambientais, locais e sistêmicas. Além das alterações presentes no indivíduo, o contato com alérgenos predispõe à doença. A eotaxina-3 é a molécula que mais se relaciona à fisiopatologia da esofagite, mas citocinas liberadas de várias células imunológicas e do próprio epitélio da mucosa, fibroblastos e células de músculo liso participam do processo inflamatório que se instala durante a evolução da esofagite.
Sintomas
Apesar de vários estudos descreverem características clínicas, não há nenhum sintoma e/ ou sinal ao exame físico patognomônicos. A clínica é muito variável, inclusive nas diferentes faixas etárias dos pacientes. Muitas vezes os sintomas podem ser confundidos com DRGE (doença do refluxo gastroesofágico).
Em lactentes, os sintomas são pouco específicos, e incluem recusa alimentar ou intolerância, irritabilidade, vômitos, baixo ganho pondero-estatural, ou regurgitação. Em crianças, os sintomas mais comuns são dor abdominal, vômitos, sintomas clássicos de DRGE, disfagia, aversão à comida, dieta limitada, baixo ganho pondero-estatural. Em adolescentes é comum a disfagia, impactação alimentar, náuseas, sintomas de DRGE, ou dieta seletiva. Nos adultos, disfagia e impactação alimentar sao marcas de esofagite eosinofilica.
Os sintomas podem ser subestimados como resultado de uma acomodação do paciente aos sintomas, como comer devagar, mastigar cuidadosamente, cortar os alimentos em pedaços pequenos, lubrificar alimentos com molhos, beber líquidos para diluir alimentos e evitar pílulas e alimentos consistentes que possam causar desconforto ao deglutir, tais como carnes e pães. Os pacientes podem ter receio em comer em lugares públicos, antecipando dificuldades na alimentação. Em casos raros, a esofagite eosinofílica pode manifestar-se com a ruptura espontânea do esôfago devido a vômitos fortes (síndrome de Boerhaave) após uma impactação alimentar.
A impactação alimentar é um achado frequente de esofagite eosinofilica, e cerca de 50% dos casos onde foi necessária a retirada do alimento em sala de emergência estão relacionados à doença.
Em resumo: apesar de não haver nenhum sintoma ou sinal específicos da esofagite, alguns sintomas nos remetem à doença, sendo necessários exames que confirmem a hipótese diagnóstica. Os sintomas variam de acordo com a faixa etária, porém a impactação alimentar é um sinal clássico, nao patognomônico, da doença
Tratamento
O tratamento tem por objetivos:
- resolução dos sintomas
- desaparecimento da inflamação eosinofílica
- manutenção da remissão da enfermidade para prevenir a estenose e/ou fibrose esofágica
- prevenção e a correção de possíveis deficiências nutricionais
- prevenção das complicações relacionadas ao tratamento e a manutenção da qualidade de vida.
Em adultos, a terapia de primeira linha é um inibidor da bomba de prótons (IBP). Em crianças, os inibidores da bomba de prótons são tipicamente utilizados se as mudanças na alimentação forem ineficazes. Acredita-se que os inibidores da bomba de prótons funcionem pela via da eotaxina-3.
Se a terapia com um inibidor da bomba de prótons falhar, normalmente administram- se corticoides tópicos para tratar a esofagite eosinofílica. Os pacientes podem usar um inalador multidose de fluticasona (880 mcg, duas vezes ao dia); o fármaco é pulverizado na boca sem inalá-lo e então é engolido. Alternativamente, budesonida 1 mg em pasta viscosa oral pode ser tomada 30 minutos após o café da manhã e 30 minutos após o jantar. Também pode-se misturar budesonida com um espessante (mais frequentemente um substituto do açúcar) para formar uma pasta e ingeri-la. Fluticasona ou budesonida são administradas por 8 semanas para determinar a eficácia. Se o paciente alcançar a remissão com uma dessas terapias, com frequência elas são mantidas indefinidamente. As doses de manutenção desses fármacos não estão bem estabelecidas.
Muitos são assintomáticos e não desenvolvem desnutrição ou malignidade Os corticóides tópicos são mais eficazes por 6 a 8 semanas de 880 a 17 mcg/d no tratamento.
| Droga | Via | Dose | Frequência |
|---|---|---|---|
| fluticasona | VO | 2 puffs | 2x/d |
| beclometasona | VO | 4 puffs | 2x/d |
| prednisona | VO | 1 a 2 mg/kg/d | 1x/d |
| Outros | |||
Os IBP melhoram os sintomas nos casos de alterações motoras causadas pela esofagite eosinofilica e levando a DRGE secundário
Há duas teorias que explicam a eficácia dos IBPs na esofagite eosinofilica: uma delas é que os IBPs restauram a barreira epitelial comprometida pela secreçao ácida, onde o ácido aumenta a permeabilidade da mucosa, permitindo o influxo de alérgenos e ativando a resposta inflamatória mediada por Th2. A segunda teoria destaca o papel anti- inflamatório da terapia com IBP, reduzindo os níveis de mediadores inflamatórios (como eotaxina-3, IL-4, IL-5 e IL-13) independentemente dos seus efeitos na secreçao ácida. A dose recomendada de IBP é de 1-2 mg/kg/dia, máximo de 40-80 mg/dia.
Estudos avaliando eventos adversos com esteroides tópicos sao escassos, mas sabe-se que a candidíase esofágica é a complicaçao mais comum (5-26%) especialmente em pacientes que utilizam doses elevadas.
Pode ser necessário a terapêutica biológica (anticorpos monoclonais contra a interleucina (IL-13 e IL-5) , antagonistas dos receptores dos leucotrienos. Estudos recentes mostram podem ser benéficos; estudos adicionais estão em andamento.
A azatioprina e 6-mercaptopurina podem ter um papel importante na remissao e manutençao em longo prazo em alguns pacientes com esofagite, porém mais estudos sao necessários. Os anti-leucotrienos, anti-histamínicos e cromoglicato dissódico e o anti-IgE nao apresentaram eficácia no tratamento de EoE. Os imunobiológicos anti-IL5, mepolizumab e reslizumab, e o anti-IL-13 (QAX576) reduziram a eosinofilia esofágica, porém sem qualquer efeito sobre os sintomas.
Os pacientes com estenoses significativas podem precisar de dilatação esofágica cuidadosa utilizando balão ou dilatador esofágico; realizam-se múltiplas dilatações progressivas e delicadas para ajudar a evitar perfurações esofágicas.
A dieta de eliminação de seis alimentos é a mais frequentemente recomendada para esofagite eosinofílica. Essa dieta elimina os alimentos com maior probabilidade de causar reações alimentares mediadas por IgE (leite, ovo, soja, trigo, amendoim/nozes, peixe/marisco). Demonstrou-se que é superior a uma dieta de eliminação baseada em testes cutâneos e sanguíneos. A dieta elementar é bem-sucedida tanto em adultos como em crianças, mas muitas vezes não é prática em adultos.
Importante retirar da dieta alimentos alergênicos
O tratamento dietético à base da eliminação de determinados alimentos da dieta tem demonstrado ser eficaz para alcançar ambas as remissões, clínica e histológica, em crianças e adultos, e também para oferecer uma remissão a longo prazo desprovida do risco dos efeitos colaterais relacionados às medicações.
Entretanto, a terapia dietética apresenta uma série de desafios, posto que não há testes laboratoriais que permitam identificar os potenciais alimentos deflagradores da enfermidade, porém, sua implementação torna-se viável ao seguir determinados guias de conduta dietéticos.
A eficácia de qualquer terapia farmacológica/ dietética deve ser verificada por meio de uma endoscopia de seguimento após um curso inicial de 6 a 12 semanas, porém o seguimento desse paciente deve ser individualizado, sendo necessário realizar EDA a cada 3 meses ou se piora dos sintomas. É controversa a terapia de manutençao a longo prazo em pacientes com menos que 15 eos/cga na EDA e/ ou ausência de sintomas.
Opções de tratamento dietético
No caso de se eleger uma terapia dietética, é recomendado ao médico decidir se irá utilizar uma dieta de eliminação contra um determinado alvo (alimento ou alimentos específicos) ou então empírica, ou mesmo o emprego de uma dieta elementar.
Alimentos para evitar:
Esses alimentos são conhecidos por aumentar a inflamação do esôfago:
- Laticínios como leite
- Ovos
- Trigo
- Soja
- Amendoins
- Peixe/marisco
As evidências das implicações dos alimentos na fisiopatologia do adulto com esofagite eosinofílica são cada vez mais comprovadas, sendo uma das tendências para o diagnóstico e tratamento. Estes geralmente mais de 2/3 têm testes positivos para IgE específico para algum alimento.
Dieta Elementar
A dieta elementar (DE) consiste em uma fórmula baseada em amino-ácidos livres desprovida de proteínas intactas ou mesmo peptídeos, e tem sido demonstrada eficaz para levar à remissão dos sintomas na maioria dos casos. Na Tabela 1 estão listadas as disponíveis no mercado e seus respectivos fabricantes. Vale salientar que estas fórmulas a despeito do seu alto grau de eficácia apresentam como óbice pelo menos 2 aspectos que precisam ser considerados, a saber como a baixa palatabilidade, e seu alto custo.
Tabela 1- Fórmulas de amino-ácidos disponíveis no mercado.
Tabela 2- Necessidades dietéticas diárias suas respectivas fontes.
Para contornar a baixa palatabilidade é possível adicionar algum sabor, como por exemplo, extrato de baunilha. Entretanto, antes de se optar pela utilização da dieta é necessário adequá-la para atender as necessidades individuais de energia, proteínas, vitaminas e minerais (Tabela 2).
O uso da dieta por tempo prolongado é muito difícil de ser mantida, e, portanto, não é a melhor escolha como uma terapia crônica. Ela pode ser de grande utilidade como uma terapia inicial para estimular os pacientes a entrar em remissão da enfermidade e, posteriormente, ser seguida da introdução de novos alimentos.
Dieta de eliminação empírica
A eliminação empírica dos principais alergenos da dieta sem a necessidade de se realizar quaisquer testes laboratoriais outra estratégia de tratamento dietético.
Kagalwalla e cols. (2011) realizaram estudo retrospectivo em crianças baseado na dieta de eliminação empírica de 6 alimentos, a saber: leite e derivados, soja, ovo, trigo, peixe e frutos do mar, e os frutos oleaginosos. Os autores relataram remissão histológica em 74% dos casos. Durante a investigação os autores encontraram, por meio de um processo de reintrodução sequencial dos alimentos acompanhados de repetidos estudos da histologia esofágica após cada introdução de um determinado alimento, a recidiva das lesões nos seguintes percentuais, a saber: leite 74%, trigo 26%, ovo 17%, soja 10% e amendoim 6%.
Dieta de eliminação baseada em teste dirigido
A dieta de eliminação baseada em teste dirigido é guiada por uma combinação de resultados advindos dos skin prick test, patch test e IgE específico contra determinados alergenos. É importante enfatizar que ainda que estes testes resultem positivos não são suficientes para caracterizar o diagnóstico dos alimentos que deflagram a esofagite.
Uma importante ressalva deve ser feita com relação aos testes de atopia alimentar, pois estes testes não foram padronizados e nem tampouco validados em pacientes, fato este que requer investigações futuras.
Além disso, Van Rhijn e cols. não encontraram uma associação entre determinados alimentos identificados por estes testes e a exacerbação da enfermidade. Por esta razão o único caminho de certeza para saber se um determinado alimento é o fator desencadeante da doença é por meio da remissão dos sintomas e da normalização histológica do esôfago quando este alimento suspeito é retirado da dieta, seguido de recidiva dos sintomas e das alterações histológicas quando este mesmo alimento é reintroduzido na dieta.
Entretanto, tanto a utilização da dieta empírica de eliminação dos alimentos quanto a dieta de eliminação baseada em teste dirigido apresentam uma vantagem sobre o uso da dieta elementar, pois, ao se eliminar os alimentos específicos que provocam os sintomas, possibilita-se que todos os outros alimentos não causadores das lesões esofágicas sejam oferecidos aos pacientes.
Desafios da terapia de eliminação dos alimentos
Qualquer que seja a escolha da dieta de eliminação, a terapia dietética requer uma rigorosa vigilância posto que os pacientes com esofagite podem se encontrar em alto risco nutricional, tanto antes de se iniciar a terapia dietética quanto após a subsequente remoção dos múltiplos alimentos da dieta.
Crianças apresentavam transtornos alimentares importantes, incluindo recusa alimentar, baixa ingestão de variedade e volume, pouca aceitação de novos alimentos, rechaço dos alimentos e padrões inconsistentes de alimentação. Por outro lado, em adultos os sintomas mais frequentes dizem respeito à dificuldade para ingerir alimentos sólidos, sendo a principal delas a impactação esofágica o que obriga a retirada endoscópica do alimento impactado, complicação que pode ocorrer em até 50% dos pacientes. Outros sintomas menos frequentes que dificultam a ingestão alimentar devem-se a queixas, tais como, dor torácica retro-esternal, queimação torácica e dor abdominal.
Implementação da terapia da dieta de eliminação
Passo 1: Avaliação do estado nutricional
É de suma importância rastrear os potenciais riscos nutricionais antes de se iniciar a implementação da prescrição dietética. Por esta razão, a avaliação inicial do profissional da saúde deve, portanto, incluir a obtenção e a interpretação dos dados das medidas antropométricas prévias, incluindo a análise da curva de crescimento e do peso, utilizando-se uma tabela de referência confiável (Gráficos de crescimento e peso da OMS para lactentes, crianças pré-escolares, escolares e adolescentes), história dietética, história médica prévia, exame clínico detalhado, e, quando necessário a realização de exames laboratoriais.
Passo 2: Eliminação dos antígenos alimentares
A leitura dos rótulos dos produtos alimentares industrializados é de fundamental importância para garantir a efetiva eliminação da dieta dos alimentos considerados alergenos.
Nos Estados Unidos, os principais alimentos considerados alergênicos que devem fazer parte inicialmente da dieta de eliminação empírica são: leite animal, soja, trigo, ovo, peixe e frutos do mar, frutas oleaginosas e amendoim. Por outro lado, na Europa, além destes alimentos devem ser acrescentados os seguintes: tremoço, aipo, sésamo e mostarda.
Muito embora ainda não tenham sido determinados os níveis limiares de exposição aos alergenos que possam vir a desencadear a esofagite, os pacientes devem ter o conhecimento do risco potencial de exposição a certos alergenos por contato cruzado no ambiente doméstico ou quando fazem as refeições em ambiente externo. O uso de utensílios compartilhados, condimentos, superfícies cortantes, equipamentos e/ou aparelhos de cozinha podem ser fatores involuntários de exposição a fontes de alergenos, bem como as áreas de serviço dos alimentos devido aos riscos de que venham a respingar nos alimentos da dieta.
Outro aspecto de importância na alimentação diz respeito a garantia de que os alimentos que venham a ser substituídos o sejam por outros que preencham as necessidades nutricionais dos pacientes sem provocar quaisquer prejuízos indesejáveis (Tabela 3).
Tabela 3- Nutrientes presentes nos alimentos comumente eliminados durante a terapia de eliminação.
Passo 3: Individualizar o cardápio para atender as necessidades nutricionais na dietade eliminação
O planejamento da adequação nutricional com os alimentos da dieta de eliminação deve ser o principal objetivo do aconselhamento alimentar, o qual deve ser alcançado por meio da incorporação de quantidades suficientes dos alimentos substitutos (Tabela 2). Todo alimento fornece um grupo específico de nutrientes (Tabela 3) e quando estes são eliminados da dieta devem ser substituídos por alimentos nutricionalmente enriquecidos. Desde que bem tolerados os alimentos enriquecidos, tais como, carnes, grãos integrais e/ou cereais fortificados no desjejum, vegetais verdes/amarelos e sementes podem ser acrescidos na dieta para reforçar a ingestão de nutrientes. Os requerimentos nutricionais de cada paciente devem ser determinados e devem ser direcionados para alcançar um equilíbrio nutricional apropriado, incluindo neste caso o estímulo para que seja ingerida uma extensa variedade de alimentos
A reintrodução dos alimentos: a vida depois da dieta de eliminação inicial
No caso da utilização da terapia da dieta de eliminação comprovar-se exitosa, ou seja, resultar em remissão clínica e histológica, é aconselhável optar-se pela reintrodução sequencial dos alimentos, um de cada vez, quando os alimentos eliminados forem acrescentados novamente à dieta do paciente. É recomendável nesta reintrodução adicionar um alimento ou grupo de alimentos de cada vez mantendo uma constante vigilância para detectar uma possível ocorrência do surgimento de sintomas de recidiva. O objetivo maior desta reintrodução sequencial de alimentos reside na possibilidade de determinar qual ou quais alimentos são os verdadeiros deflagradores da esofagite e deve ser considerada a possibilidade da realização de biópsias esofágicas seriadas após cada reintrodução, como parte do manejo dos pacientes posto que o surgimento dos sintomas isoladamente ou a realização da endoscopia sem a obtenção da biópsia não podem ser consideradas como uma medida acurada da atividade da enfermidade.
Baseados em estudos retrospectivos é reconhecido que leite, ovo, trigo, e soja são os alimentos mais provavelmente responsabilizados pela deflagração da recidiva, e, portanto, deve-se considerar que a reintrodução destes alimentos se dê em estágios mais tardios dos ensaios dietéticos.
No caso do surgimento de recidiva, quando for possível identificar o agente provocador da mesma, o alimento causador do problema deve ser retirado da dieta por um tempo prolongado ou mesmo definitivamente.
Vale a pena enfatizar que embora a realização de biópsias seriadas do esôfago seja o único caminho para se ter a certeza se um determinado alimento é ou não o deflagrador, na maioria das vezes este tipo de intervenção não é possível de ser executada na prática médica diária ou mesmo pode não ser desejável. No presente momento, nos casos em que as endoscopias não possam ser rotineiramente realizadas a única ferramenta validada para avaliar a resposta ao tratamento clínico é a Pediatric Eosinophilic Esophagitis Symptom Score versão 2.0 (J Allergy Clin Immunol 2015;135:1519-28.e8). Este questionário obtém de forma efetiva os sintomas relatados pelos pais das crianças com idades que variam de 2 a 18 anos.
Conclusões
A terapia de dietética de eliminação tem sido demonstrada eficiente para induzir a remissão da enfermidade na maioria dos pacientes. Ela também oferece uma potencial efetividade para o tratamento a longo prazo. Entretanto, dietas de eliminação não são isentas de risco e podem ter um impacto negativo sobre o estado nutricional, o prazer pela comida e o bem-estar geral do paciente e sua qualidade de vida.
Seguindo-se uma orientação adequada e uma monitoração vigilante, os potenciais impactos negativos serão minimizados de tal forma que os pacientes poderão se beneficiar desta opção terapêutica sem a necessidade de auxílio medicamentoso.
A esofagite tem estado cada vez mais presente nos consultórios de clínicos, pediatras, alergologistas e gastroenterologistas, devendo fazer parte dos diagnósticos diferenciais. O olhar cuidadoso sobre os sintomas clínicos, muitas vezes inespecíficos, poderá guiar os profissionais que lidam com esses pacientes para a suspeição e início da investigação. Será necessário estabelecer o perfil de atopia do paciente e da família e proceder a realização de exames mais invasivos, quando necessários. A estratégia terapêutica poderá demandar um prévio tratamento com inibidores de bomba de prótons, e posteriormente a decisão de tratamento irá incluir abordagem dietética e/ou uso de terapêutica antiinflamatória.
Ela é uma doença crônica, que requer observação e tratamento em longo prazo, sendo necessária a individualização do paciente em seu seguimento clínico e a adequação nutricional, terapêutica e indicação de novos exames.
Até o momento indicam que a esofagite eosinofílica não representa uma doença pré- maligna e não diminui o tempo de vida. Podem ocorrer períodos de remissão dos sintomas espontaneamente ou induzida por dilatação, sem necessidade de restrição dietética ou abordagem terapêutica. No entanto, na maioria dos pacientes, a esofagite é uma doença crônica, e se o tratamento é interrompido, a inflamação e os sintomas podem recorrer, promovendo uma redução na qualidade de vida desses pacientes




