Tumores pancreáticos sólidos
Por Dr. Nelson de Souza Liboni
Compartilhe:
Atualmente, apenas uma em cada 10 pessoas diagnosticadas com câncer no pâncreas sobrevive mais do que cinco anos, pois são diagnosticados tardiamente, com opções de tratamento já são muito limitadas.
A maioria dos casos não apresenta sintomas na fase inicial, ou sintomas leves, o que dificulta a sua identificação. Pelo fato de ser de difícil detecção, o câncer no pâncreas apresenta alta taxa de mortalidade, por conta do diagnóstico tardio e de seu comportamento agressivo. No Brasil, é responsável por cerca de 2% de todos os tipos de cânceres diagnosticados e por 4% do total de mortes por essa doença.
Os fatores de risco:
- cigarro aparece como principal fator de risco pois tem três vezes mais chances de desenvolver câncer no pâncreas do que os não fumantes assim maior a quantidade e o tempo de consumo, maior o risco;
- consumo excessivo de gordura, carnes e de bebidas alcoólicas;
- exposição a compostos químicos, como solventes e petróleo.
A prevenção se baseia em não fumar, evitar a ingestão excessiva de bebidas alcoólicas, adotar dieta balanceada, rica em frutas e vegetais
Adenocarcinoma Ductal
Dentre os tumores sólidos, o mais comumente encontrado é o adenocarcinoma ductal segundo dados da American Cancer Society esta afecção é a quarta causa de morte por câncer nos EUA .
Ela acomete principalmente raça branca e idosos com predileção pelo sexo masculino.. Entre os fatores de risco:
- obesidade;
- tabagismo;
- diabetes;
- abuso de álcool;
- 5 até 10% tem associação familiar com mutações dos genes BRCA-2 (câncer mama familial), PRSS1 (pancreatite hereditária), p16 (melanoma) ou HNPCC (câncer colorretal hereditário não-polipose).
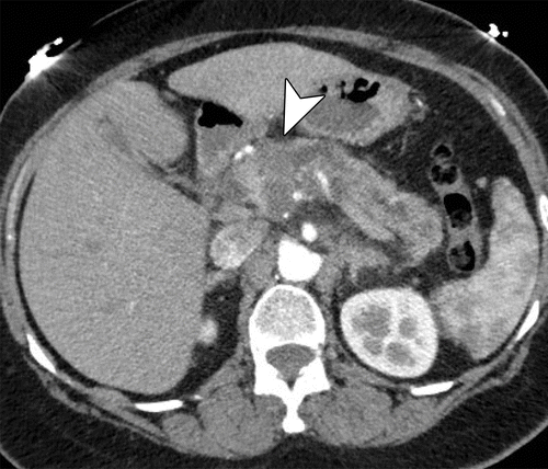
É tumor altamente maligno e agressivo que se espalha rapidamente para outros órgãos com fígado, peritônio e pulmões. Ocorre preferencialmente na cabeça pancreática, mas pode acometer também corpo ou a cauda.
Os sintomas mais comuns:
- estági
- icterícia (“amarelão”), onde a bilirrubina produzida no fígado se acumula na pele e escleras pela obstrução do ducto colédoco pelo tumor. Essa icterícia tem como características ser insidiosa e indolor, colúria e acolia. Diferente da tríade de Charcot inclui dor no quadrante abdominal superior direito, febre e icterícia e quando estes sinais e sintomas se associam à confusão mental e hipotensão arterial (pêntade de Reynolds) nos quadros de colangite.e coledocolitiase;
- prurido “coceira” e emagrecimento importante;
- A dor no início não é tão importante e se localiza na região alta abdominal “boca do estômago” podendo ser confundida com úlcera duodenal. Posteriormente a infiltração de gânglios neurais (gânglio celíaco) leva a dor lancinante e irradiando para as costas, melhorando na “posição de prece islâmica”;
- Fígado aumentado e vesícula palpável (Sinal de Crouvoisier-Terrier) também podem estar presentes. Ascite – “barriga da agua” e nódulos no umbigo (Sinal de Sister Mary Joseph) ou acima da clavícula (Nódulo de Virchow) também podem ocorrer tardiamente.
O diagnóstico inclui exames laboratoriais e de imagem, além de biópsia.
- anemia , aumento níveis de bilirrubinas (na sua forma direta), enzimas hepáticas como TGO,TGP,Gama-GT e fosafatase alcalina, baixos níveis de protrombina e albumina. O marcador tumoral CA 19,9 é em geral elevado (contudo 5 a 10 % das pessoas que tenham o fenótipo Lewis AB não o sintetizam). Outras doenças cancerígenas ou não também podem elevar este marcador, portanto ele é as vezes não é específico para câncer pancreático;
- tomografia com cortes finos para pâncreas com protocolo trifásico observa massa heterogênea, hipocontrastante em relação ao pâncreas ao redor, atrofia da glândula e dilatação do ducto de wirsung e hepatocolédoco. Ela permite estadiamento para avaliar a invasão de vasos importantes como artéria mesentérica, tronco celíaco, veia mesentérica-porta; além de gânglios linfáticos e metástases hepáticas (fígado) ou peritônio;
- eco-endoscopia com biópsia por agulha fina (FNA) da informações relevantes em relação a invasão de vasos locais como artéria mesentérica, tronco celíaco, veia mesentérica-porta além da biópsia. Mas, não há unanimidade de seu uso na literatura a não ser nos casos duvidosos, submetidos a neo-adjuvancia (tratamento antes da cirurgia) principalmente se for usar radioterapia ou nos casos de doença avançada que não se beneficiaria de retirada cirúrgica da lesão;
- PET-CT pode mostrar doença oculta extra-pancreática (“fora do pâncreas”). mas a tomografia com triplo contraste ainda é superior, Apesar de todos os esforços o PET-CT pode não identificar doença em 5 a 10 % dos casos ao tempo da operação, pois lesões pequenas menores que 5 mm na superfície do fígado ou peritônio podem passar despercebidas;
- laparoscopia é fundamental para o diagnóstico dessas pequenas lesões e podem mudar a conduta de tratamento;
- CPRE pode sugerir também o diagnóstico, mas tem sido reservada para passagem de prótese para aliviar a icterícia principalmente no paciente com colangite “infecção no canal colédoco”, mal nutrido ou com prurido intratável.
O tipo de tratamento é definido de acordo com o estágio em que a doença se apresenta.

Classificação TNM da American Joint Committee on Cancer (AJCC) para cancer de pancreas
Estágio I ou II
Quando o câncer está confinado ao pâncreas (estágio I e II), o tratamento indicado costuma ser a cirurgia radical, seguida de quimioterapia e/ou radioterapia após a cirurgia. Nos casos em que o tumor não pode ser operado inicialmente, o tratamento indicado é a quimioterapia associada ou não à radioterapia.
Cirurgia radical
O tratamento curativo é a extirpação cirúrgica do tumor seja por via aberta ou minimamente invasiva que é reservada aos tumores localizados no pâncreas (sem metástases). Quando está situado na cabeça do pâncreas para sua retirada está indicado duodenopancreatectomia ou gastroduodenopancreatectomia com alto indice de complicação (em torno de 30 %) e mortalidade não desprezível (de 1 a 5 %) também conhecida como cirurgia de Whipple, na qual são removidos a cabeça do pâncreas, parte do estômago, todo o duodeno, vesícula biliar e os linfonodos regionais.
Outra técnica frequentemente utilizada é a duodenopancreatectomia com preservação de piloro (válvula entre estômago e duodeno), deixando integralmente o estômago, com o intuito de preservar as condições nutricionais.
Nos tumores do corpo e cauda, a cirurgia costuma ser mais simples com apenas a retirada do pâncreas doente com margem de segurança e baço, esta cirurgia é chamada de pancreatectomia distal. Há protocolos de tratamento multimodal na literatura com quimioterapia e/ou radioterapia antes da cirurgia (terapia neoadjuvante) ou pós-operatória (adjuvante) a depender dos fatores de risco para recidiva.
Na cirurgia radical, o intuito é a remoção completa do tecido tumoral, através da retirada parcial ou total do pâncreas e dos linfonodos ao redor. Essa é uma operação de grande porte, que exige cirurgiões muito experientes, centros hospitalares de qualidade e pacientes em boas condições físicas.
Infelizmente, a cirurgia radical, o melhor tratamento para o câncer de pâncreas localizado, só é possível em 10% a 30% dos pacientes.
Radioterapia externa
Em algumas situações o tumor não pode ser operado por ter invadido estruturas que impedem sua retirada completa ou porque o paciente não tem condições clínicas para suportar uma cirurgia muito prolongada. Nesse cenário, a radioterapia neoadjuvante (antes da cirurgia), associada ou não à quimioterapia, é uma opção a ser considerada. A técnica mais utilizada é a radioterapia externa conformacional. O tratamento tem a duração aproximada de cinco semanas.
A radioterapia também pode ser indicada para complementar a cirurgia (radioterapia adjuvante), nos casos em que há suspeita da persistência de algum foco tumoral na área operada.
Quimioterapia
Para um paciente cujo tumor foi removido cirurgicamente por completo, em geral, recomenda-se a quimioterapia preventiva (adjuvante), com o intuito de reduzir o risco de recidiva da doença. O tratamento padrão atual é a combinação de 2 (gemcitabina ou fluorpirimidinas) ou 3 drogas (fluorpirimidinas, irinotecano e oxaliplatina),. A definição do regime a ser utilizado vai depender de fatores como a idade do paciente e o estado geral no pós-operatório. A duração da quimioterapia adjuvante é de 24 semanas .
Mais recentemente, a combinação contendo gemcitabina e outra quimioterapia, chamada nab-paclitaxel, também foi melhor que a gemcitabina isolada, representando uma opção alternativa para pacientes com doença avançada. Terapia personalizada e pesquisa de mutação no BRCA no sangue.
Está recomendado que todos os pacientes com câncer de pâncreas, em qualquer estágio, sejam submetidos à pesquisa de mutação no gene BRCA, através de um exame simples de sangue. Cerca de 10% dos pacientes com câncer de pâncreas apresentam a mutação no BRCA 1 ou 2. Para estes pacientes portadores de mutação no BRCA e que tenham apresentado redução do tumor após tratamento com oxaliplatina na 1ª linha o medicamento oral olaparibe pode ser indicado.
Estágio III
Em algumas situações da doença em estágio III, a quimioterapia com um ou mais medicamentos pode ser usada antes da cirurgia, para diminuir o tamanho do tumor e facilitar o procedimento. Quando a cirurgia não for possível, a radioterapia é outra estratégia que pode ser utilizada neste cenário para facilitar ou permitir a ressecção total do tumor.
Estágio IV
Nesta fase, em que o câncer invade órgãos vizinhos ao pâncreas ou órgãos distantes, como peritônio, pulmões e fígado, o tratamento de escolha é a quimioterapia. O objetivo do tratamento é reduzir a população de células malignas, prolongar e melhorar a qualidade de vida.
Alcoolização de nervos infiltrados pelo câncer
Para aliviar as dores lombares e na “boca” do estômago (região chamada de epigástrio), secundárias à invasão das estruturas nervosas de um dos plexos nervosos abdominais (plexo celíaco), podemos empregar analgésicos potentes ou alcoolizar o referido plexo para evitar a condução do estímulo nervoso responsável pela dor.
Cirurgia desobstrutiva
Quando o tumor já comprime os dutos que levam a bile para o duodeno e a icterícia se torna progressiva, existe a possibilidade de fazer uma cirurgia de ponte (bypass), na qual o cirurgião desvia o fluxo de bile para uma alça intestinal que não esteja obstruída. Por vezes, quando não há condições cirúrgicas, o cirurgião opta por colocar um stent por via endoscópica, uma pequena prótese introduzida na via biliar para ultrapassar a obstrução e permitir a drenagem da bile.
Tumores Neuro-Endócrinos
Depois do adenocarcinoma o tumor mais frequente e corresponda a 3% de todos os tumores pancreáticos. Os tumores neuro-endócrinos são provenientes das células designadas ilhotas de Langerhans que são as células pancreáticas responsáveis pela produção de hormônios como insulina e glucagon. A incidência tem aumentado nas últimas três décadas talvez associado a melhoria e popularização dos exames de imagem com incidência entre 40 a 69 anos.
Esses tumores podem ser esporádicos ou ligados a Síndromes Genéticas como Neoplasia Endócrina Múltipla (NEM), Neurofibromatose, Esclerose Tuberosa, Doença de Von Riecklinghausen e Síndrome de Von Hippel-Lindau.
Os tumores neuro-endócrinos pancreáticos (PNETs) se originam de células tronco pluripotentes e tem uma via de desenvolvimento diferente dos adenocarcinomas com mutações nas proteínas MEN e mTOR ao invés da K-ras como no adenocarcinoma ductal. Estas características mutacionais permitem a utilização de mais opções terapêuticas sistêmicas.
Estes tumores tem comportamento biológico variável que é caracterizado pela imuno-histoquímica de uma proteína de proliferação celular designada de KI-67, número de mitoses e presença de necrose. Eles podem ser classificados em:
- tumor neuro-endócrino (NET) bem diferenciado G1 quando KI-67 é inferior a 2%;
- moderadamente diferenciado G2 - KI-67 maior que 3% e menor que 20%;
- Carcinoma neuro-endócrino (NEC) G3 de célula grande (Ki-67 maior que 20%) ou de pequena célula;
- carcinoma misto adenoneuroendócrino (MANEC).
Sendo assim tem prognósticos variáveis podendo apresentar curso indolente = pouco agressivo até invasão local de outros órgãos, gânglios linfáticos e notadamente predileção por metástases hepáticos devido ao fluxo do tronco venoso mesentérico-portal.
Eles podem ser classificados como funcionantes e não-funcionantes baseado nos sintomas e tipos de hormônios secretantes.
Tumores funcionantes:
- insulinoma - produz insulina levando a hipoglicemia com sudorese, palpitação, batimentos cardíacos elevados, nervosismo, visão turva e tontura que melhoram com ingestão de açúcar. Podem assim estar associados a chamada tríade de Whipple – neuroglicopenia, hipoglicemia e melhora do sintoma com administração de glicose. Em geral são benignos.
- Glucagonoma - produz glucagon hormônio que eleva açúcar no sangue e pode levar a uma afecção cutânea designada eritema migratório necrolitico – são feridas na pele com necrose que migram por diferentes locais do corpo. Geralmente são malignos.
- VIPOMA -produz polipeptideos intestinais vasoativos substâncias que aumentam a motilidade intestinal e diminuem a absorção levando a diarreia importante aquosa com diminuição de sais minerais levando a fraqueza como acloridria e hipocalemia. Cinquenta por cento são malignos.
- Somatostinoma - Produzem somatostatina que diminui a motilidade gastrointestinal e produção de sucos digestivos e eleva açúcar no sangue levando a diarreia e formação de cálculos na vesícula (colelitíase). A maioria é maligno
Tumores não-funcionantes
Eles não produzem substâncias com ação específica o que retarda seu diagnóstico. São os mais comuns e na sua maioria são malignos. Infelizmente são diagnosticados tardiamente devido a sintomas devido a grandes dimensões como invasão de estruturas locais como estômago, cólon ou duodeno ou metástases hepáticas.
O tratamento desses tumores é individualizado e bastante variável dependendo do estadiamento, condições clinicas do paciente e grau. Quando localizado no pâncreas ou caso invada órgãos não-essenciais será realizada a extirpação da lesão ou parte do pâncreas. Quando apresenta metástases hepáticas no caso de poucas lesões e com paciente com boas condições clínicas pode ser realizada a retirada das metástases (hepatectomia) ou radioablação, mais raramente até transplante hepático. Em outras situações pode ser realizado quimio-embolização, radio-embolização, terapia-alvo , octreotideo, lantreotideo ou ainda quimioterapia sistêmica.
O diagnóstico pode ser clínico nos tumores funcionantes e confirmado:
- dosagem no sangue de susbtâncias produzidas pelo tumor (exemplo insulina, glucagon,etc), cromogranina A, neuro-enolase ou mesmo sua correlação clínica como por exemplo teste de 72 horas com medida de glicose, insulina a peptideo C cada 6 hs até os sintomas de hipoglicemia aparecerem (por exemplo especificamente para insulinoma);
- tomografia e ressonância. Como os PNETS são altamente vascularizados costumam se apresentar como tumores hipercontrastantes após administração de contraste na fase arterial apresentando coloração mais clara que o pâncreas ao redor tanto na tomografia quanto ressonância. Também pode ser realizados: o Octreoscan (Cintilografia com receptores para Octreotide) e a Cintilografia com Gálio 67;
- biopsia da lesão ou metástase seja por punção por tomografia ou eco-endoscopia , a análise imuno-histoquímica fecha o diagnóstico com a expressão positiva para cromogranina A, neuro-enolase e sinaptofisina.
Carcinoma Células Acinares (CCA)
Raro, maligno oriundo da células exócrinas predominante em homens com idade entre 56 até 64 anos. A maioria dos casos são sintomáticos.
E comumente encontrada:
- síndrome de hipersecreção de lipase, uma síndrome paraneoplásica (associada ao tipo de tumor) caracterizada por níveis elevados de lipase, necrose da gordura subcutânea, poliartralgia (“inflamação nas juntas”) e eosinofilia (eosinófilos aumentados);
- CEA e Ca 19,9 em geral são baixos;
- enzimas pancreáticas são em geral elevadas como tripsina, quimotripsina, lipase e amilase;
- tomografia ou ressonância, o CCA pode ser sólido ou cístico sendo a dilatação do ducto de Wirsung incomum. Na biopsia quando necessária seja por punção por eco-endoscopia ou Tomografia, ACC aparece com infiltrado eosinofílico além de coloração PAS positiva (Periodic acid-Schiff). Na imuno-histoquímica apresenta expressão positiva para tripsina, quimotripsina, amilase, lipase, sinaptofisina ou cromogranina.
Infelizmente 57 % dos CCA tem metástases e não são candidatos a cirurgia. Quando a doença é localizada o único tratamento curativo é a extirpação cirúrgica. Quimioterapia e radioterapia podem ser usadas, mas o benefício discutivel. Quando totalmente retirados apresentam prognóstico melhor que o adenocarcinoma ductal.
A extirpação cirúrgica do tumor é reservada somente aos tumores localizados no pâncreas (sem metástases). Quando está situado na cabeça do pâncreas para sua retirada é necessária a duodenopancreatectomia ou gastroduodenopancreatectomia. Nos tumores do corpo e cauda, a cirurgia indicada é a pancreatectomia distal.
Carcinoma Adenoescamoso
Tumor incomum do pâncreas e corresponde de 1 a 4% de todos cânceres pancreáticos como um tumor em que no mínimo 30% das células contem carcinoma escamoso e o resto é composto de adenocarcinoma.
O pico de idade entre 55 a 71 anos, similar ao adenocarcinoma ductal. Pode haver elevação de marcadores tumorais como CEA e Ca 19,9. Na tomografia ou ressonância geralmente é observada lesão sólida com necrose variável no seu interior. Invasão de órgãos locais ou metástases a distância não são incomuns. Em geral, pelos exames de imagem tomografia ou ressonância não permitem sua diferenciação com adenocarcinoma ductal. Na eco-endoscopia com biopsia por agulha fina o índice de diagnóstico é muito variável .
É mais comum no corpo e cauda do pâncreas e invasão de órgãos locais e metástases a distância tanto para gânglios linfáticos quanto para o fígado e pulmões não são incomuns.
Trata-se de tumor agressivo com prognóstico amiúde ruim, seu tratamento no tumor localizado é a extirpação cirúrgica (duodenopancreatectomia ou gastroduodenopancreatectomia). Nos tumores do corpo e cauda, a cirurgia é a pancreatectomia distal. Quimioterapia e radioterapia neoadjuvante ou adjuvante podem ser usadas, mas o benefício não é claro na literatura. Na doença com metástases – avançada, a quimioterapia aumenta a sobrevida (tempo de vida).
Linfoma
Linfoma primário do pâncreas é raro, definido como linfoma extranodal (“fora de gânglio linfático”) originário do tecido pancreático. Não deve haver: gânglios palpáveis, aumento de gânglios no mediastino, contagem de leucócitos normal (“glóbulos brancos”), ausência de lesão hepática ou esplênica e massa pancreática com linfonodos peri-pancreáticos.
É doença que acomete idosos em torno dos 60 anos. Dor abdominal não irradiante é o principal sintoma, além de massa palpável abdominal ou aumento do baço e os sintomas B (febre e calafrios) são incomuns. Eventualmente marcadores são elevados, principalmente beta2microglobulina e Dsidrogenase lática (DHL).
A avaliação dos exames de imagem como tomografia ou ressonância, o linfoma é indistinguível do adenocarcinoma ductal que confunde o diagnostico.
Por ser doença muito rara, os estudos até o presente momento são inconclusivos em relação ao melhor tratamento desde a extirpação cirúrgica até quimio-radioterapia ou mesmo a associação desses métodos em conjunto. A cirurgia consiste na duodenopancreatectomia ou gastroduodenopancreatectomia ou pancreatectomia distal dependendo da localização.
Metástases Pancreáticas
Metastases são raras e correspondem a 2 % de todos canceres pancreáticos oriundas do câncer colorretal, pulmões, mama e melanoma. A maioria é assintomática e é descoberta por exame de imagem. Em geral, são altamente vascularizados costumam se apresentar como tumores hipercontrastantes após administração de contraste na fase arterial apresentando coloração mais clara que o pâncreas ao redor tanto na tomografia quanto ressonância. A biopsia por eco-endoscopia com punção pode dar diagnóstico, mas não é necessária na lesão isolada.
A extirpação cirúrgica é reservada somente aos tumores localizados no pâncreas (sem metástases). De acordo com a localização poderá ser feito duodenopancreatectomia ou gastroduodenopancreatectomia ou pancreatectomia distal.




